
Для своевременной диагностики следует знать о причинах данного заболевания, способах диагностирования и способах лечения.
Обычно диагностируется у женщин репродуктивного возраста.
Заболеваемость возрастает после 30 лет.
Сущность патологии
Аденомиозом называется гинекологическая патология, при которой слизистая оболочка матки (эндометрий) прорастает в мышечный слой матки (миометрий).
В последние десятилетия отмечают рост заболеваемости указанным состоянием, что связывают увеличением патологических иммунных реакций, а также усовершенствованием методов инструментальной диагностики.
Различают несколько форм аденомиоза:
- Очаговая. В миометрии определяются единичные очаги эндометриоидной ткани. Чаще всего выявляют после наступления менопаузы.
- Диффузная. Слизистая ткань равномерно распределена в мышечном слое, происходит образование карманов различной глубины. Как результат – образование свищевых ходов.
- Узловатая. Выявляют формирование узловых образований, которые лишены капсульной оболочки. Внутри узла обычно наблюдают окрашенную в тёмные цвета жидкость или кровь, что связано с циклическими изменениями в эндометрии.
Также аденомиоз принято дифференцировать в зависимости от глубины проникновения в мышечный слой в связи с этим выделяют четыре степени тяжести заболевания.
https://youtube.com/watch?v=NX4zSy2efTA
Аденомиоз 2 степени – что это такое?
Под аденомиозом 2 степени понимают поражение мышечного слоя до половины его толщины.
В этом случае матка увеличивается в размерах.
Если ранее заболевание могло протекать бессимптомно, то на этой стадии уже имеются клинические проявления.
«Аденомиоз — довольно распространенное заболевание. Но, к сожалению, его впервые диагностируют на 2 и 3 стадии, что связано со смазанной клинической картиной патологии на 1 стадии. Вероятность излечения существует. В настоящее время предложено огромное множество методов лечения данного заболевания».
Симптомы заболевания
Стоит отметить, что пациентки с аденомиозом зачастую страдают предменструальным синдромом (изменения в эмоциональной и психической сферах, артериального давления, появление головных болей, отёчности).
Аденомиоз 2 степени имеет свою клиническую картину, которая проявляется следующим образом:
- Появлением болевой реакции в период менструаций;
- Постепенное появление болей;
- Нарушение менструального цикла (увеличение продолжительности менструаций, изменение их объема);
- За несколько дней (от 2 до 5) до начала нового цикла появляются мажущие выделения, такие же выделения имеют место быть после завершения менструаций;
- Наличие маточных кровотечений в межменструальный период (не всегда);
- Проявления анемии (сухость кожных покровов, ломкость ногтей, волос, бледность кожи, одышка, появление «заед» в уголках рта, слабость, сонливость, головокружения, обмороки);
- Невозможность забеременеть (бесплодие).
Основной причиной бесплодия при аденомиозе являются спайки в области фаллопиевых труб, которые создают препятствие для выхода яйцеклетки в полость матки, изменение структуры слизистой оболочки матки, что затрудняет процесс имплантации, сопутствующее воспаление, гипертонус мышечного слоя, а также многие другие факторы, которые увеличивают риск самопроизвольного аборта.
https://youtube.com/watch?v=ODbk6oR5NO0
Причины возникновения
В настоящее время точные факторы риска данного заболевания до конца не выяснены. Достоверно известно, что аденомиоз представляет собой гормонозависимую патологию.
Способствуют возникновению следующие факторы:
- Нарушение иммунного статуса (врожденные и приобретенные иммунодефицитные состояния);
- Внутриматочные вмешательства (повреждают базальный слой эндометрия, отделяющий его от миометрия – аборты, выскабливания диагностического характера, постановка внутриматочной спирали, осложненное течение родов, оперативные вмешательства, маточные кровотечения);
- Раннее или позднее менархе (первые менструации);
- Приём комбинированных оральных контрацептивов;
- Применение гормональных лекарственных средств;
- Избыточная масса тела (способствуют гиперэстрогенемии в организме);
- Наличие хронических заболеваний (патологии желудочно-кишечного тракта, артериальная гипертензия);
- Избыточная или недостаточная физическая нагрузка;
- Неблагоприятная наследственность (наличие у близких родственников эндометриоза, аденомиоза, онкологических заболеваний женской половой системы).
ОБРАТИТЕ ВНИМАНИЕ!
Возможен врожденный вариант аденомиоза, который возникает вследствие нарушения внутриутробного развития половой органов у плода.
В чем отличие от 1 степени?
При 1 стадии указанного патологического процесса имеются следующие особенности:
- Меньшая глубина инвазии (при 1 стадии отмечают поражение до подслизистой оболочки тела матки);
- Изменения плохо визуализируются посредством методов ультразвуковой диагностики;
- Не отмечаются нарушения менструального цикла;
- Болевая реакция или отсутствует, или носит слабовыраженный характер, чаще всего связывают с началом менструаций;
- Не наблюдают проблем с зачатием и последующей беременностью.
При второй и последующих стадиях заболевания эти изменения имеют выраженный или слабовыраженный характер.
Методы диагностики
Диагностический процесс при аденомиозе основывается на:
- Сборе анамнестических данных (возраст первого менархе, характер менструаций, общее состояние);
- Физикальном осмотре;
- Двуручном гинекологическом исследовании;
- Ультразвуковых методах исследованиях;
- Гидросонографии;
- Рентгенологической гистерографии;
- Гистероскопии;
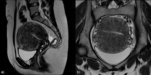
- Магнитно-резонансная томография.
Двуручное гинекологическое исследование
Носит наиболее информативный характер непосредственно перед началом менструаций.
В зависимости от степени выраженности заболевания размеры матки могут варьировать от 2 до 8 недель беременности. После менструаций габариты матки находятся в пределах нормы.
Если наблюдается поражение перешейка матки отмечают его расширение, увеличение плотности, появление болевой реакции при осуществлении пальпации.
Болезненность имеет наиболее выраженный характер в области прикрепления крестцово-маточных связок как до и во время менструаций, так и после их окончания.
Довольно часто при вовлечении в патологический процесс перешейка матки наблюдают ограничение подвижности органа и усиление болевого синдрома при её смещении вперед.
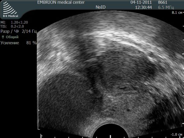
Ультразвуковые методы
Из ультразвуковых методов наиболее часто применяют ультразвуковую сонографию.
Применяют специализированные трансвагинальные датчики, которые позволяют детально оценить состояние эндометрия.
Точность указанного метода достигает 90%.
При аденомиозе отмечают увеличение размеров матки в переднезаднем размере, различная толщина стенок на всём протяжении органа.
Характерно изменение структуры по типу «пчелиных сот» — чередование плотных участков и полостей с жидкостью.
Если заболевание имеет узловую форму, то отмечают округлые плотные образования, контуры которого отличаются неровностью и отсутствием чёткости.
Гидросонография
Носит для уточнения заболевания на начальных стадиях. Отмечают включения малого диаметра, неравномерность толщины эндометрия.
Рентгенологическая гистерография
Для исследования используется рентгеновское излучение.
На снимках визуализируют увеличение площади полости матки, конуры полости деформированы и зазубрены.
Гистероскопия
Носит наиболее высокую информативность.
Признаки вариабельны и зависят на указанной стадии от его формы.
На второй стадии отмечают неровность рельефа матки, вид напоминает разволокнённую мышечную ткань, визуализируют эндометриоидные ходы.
Полость органа плохо растягивается.
Магнитно-резонансная томография
Выявляют увеличение размеров органа, изменение структуры слизистой оболочки и различную толщину стенок органа.
Основные методы лечения
На современном этапе для терапии аденомиоза применяют следующие методы:
- Оперативное вмешательство;
- Применение медикаментозных средств (гормонотерапия);
- Коррекцию иммунного статуса.
Оперативное вмешательство
Показано в том случае, если не наблюдают эффекта от ранее проведенной гормональной терапии или если существуют противопоказания к её проведению. Обычно производят удаление матки с придатками.
В последние года всё большее применение находят эндоскопические методики, которые позволяют сохранить матку и направлены на уменьшение кровопотери. Смысл вмешательства состоит в частичной облитерации полости органа.
Эндоскопические методы приводят к формированию внутриматочных спаек и могут являться методом лечения только для тех женщин, которые реализовали репродуктивную функцию.
Гормональная терапия
Основная задача лечения аденомиоза посредством гормональных средств- подавление процесса овуляции, а также создание условий для низкого уровня эстрогенов в организме.
Применяют лекарственные средства различных групп:
- Прогестагены (Норгестрел, Дюфастон, Утрожестан);
- Эстроген-гестагенные препараты (Антеовин, Дивина, Клиогест);
- Антигестагены (Женале, Гинепристон);
- Агонисты ГнРГ (Гозерелин, Диферелин);
- Многие другие, среди которых действенное лекарство нового поколения «Силуэт».
ВАЖНО!
Также проводят симптоматическую терапию, которая способствует уменьшению болевой реакции (применяют нестероидные противовоспалительные средства – Нимесил, Кеторол, Ибупрофен, спазмолитики – Дротаверин, Мебеверин, Папаверин).
3 степень болезни
Под аденомиозом 3 степени понимают поражение мышечного слоя органа до серозной оболочки.
На этой стадии заболевания клиническая картина носит наиболее выраженный характер — болевая реакция постоянна и интенсивна, увеличивается объем кровопотери, ухудшается общее состояние организма.
На данном этапе беременность маловероятна.
Возможно злокачественное переобразование эндометриоидных очагов в опухолевые новообразования.
Аденомиоз — заболевание, которое поддается терапии, что достигается благодаря имеющимся методам лечения.
При возникновении указанных симптомов следует обратиться к специалисту для своевременной диагностики и назначения курса лечения, что поможет избежать неблагоприятных последствий.
Полезное видео
Из видео вы узнаете об аденомиозе и его симптомах:
https://youtube.com/watch?v=9Z6l2WN5bx8
Вопрос-ответ
Что такое аденомиоз 2 степени?
С учетом глубины проникновения клеток эндометрия выделяют четыре степени аденомиоза: 1 степень – страдает только подслизистый слой матки. 2 степень – поражается не более половины глубины мышечного слоя матки. 3 степень – страдает более половины глубины мышечного слоя матки.
Аденомиоз матки это рак или нет?
Пациентки часто спрашивают у гинекологов: «Аденомиоз матки — это рак?». Это состояние не является злокачественной опухолью, но в некоторых случаях возникает угроза раковой трансформации.
Нужно ли удалять матку при аденомиозе?
Согласно рекомендациям Европейской и Американской ассоциаций врачей, только удаление тела матки является единственно радикальным методом при лечении аденомиоза.
Советы
СОВЕТ №1
Обратите внимание на симптомы. Аденомиоз может проявляться болями внизу живота, обильными менструациями и дискомфортом во время полового акта. Если вы заметили подобные признаки, не откладывайте визит к врачу.
СОВЕТ №2
Регулярно проходите гинекологические обследования. Ранняя диагностика аденомиоза может значительно улучшить прогноз и помочь избежать осложнений. Убедитесь, что ваш врач проводит ультразвуковое исследование и другие необходимые тесты.
СОВЕТ №3
Изучите доступные методы лечения. Аденомиоз может лечиться как медикаментозно, так и хирургически. Обсудите с врачом все возможные варианты, включая гормональную терапию и минимально инвазивные процедуры, чтобы выбрать наиболее подходящий для вас метод.
СОВЕТ №4
Поддерживайте здоровый образ жизни. Правильное питание, регулярные физические нагрузки и управление стрессом могут помочь снизить симптомы аденомиоза и улучшить общее состояние здоровья. Рассмотрите возможность консультации с диетологом или психологом для комплексного подхода к лечению.






