
В большинстве случаев киста яичника образуется из неразорвавшегося вовремя фолликула, но бывают и другие виды новообразований.
Что касается анатомического строения кисты, она представляется собой мешковидное образование с тонкими стенками.
Размеры кисты могут варьироваться от нескольких миллиметров до двух десятков сантиметров в диаметре.
Что это такое
Кистозные образования практически в 90% случаев – это функциональные кисты – фолликулярные или лютеиновые, которые связаны со сбоями, происходящими в работе самого органа.
Фолликулярная киста образуется, если фолликул не лопается, а остается в яичнике и накапливает жидкость. Лютеиновая киста образуется при сбоях в желтом теле – временной железы, которая остается на месте разрыва фолликула.
Есть кисты органические, причины и механизм развития которых несколько другие.
К таким кистам относятся:
- дермоидная;
- эндометриоидная;
- параовариальная и другие.
В большинстве своем кисты – это доброкачественные новообразования, которые никогда не трансформируются в злокачественную опухоль, но, например, дизонгенетическая киста может спровоцировать онкологические процессы.
ВАЖНО!
Поскольку самостоятельно определить кисту, ее вид и потенциальную опасность невозможно, при наличии кистозного образования женщина должна пройти тщательную диагностику и наблюдаться у профессионального врача.
https://youtube.com/watch?v=JbXLyHrfH6Q
Клиническая картина
Начальные стадии развития кисты клинической картиной практически никогда не сопровождаются, чаще всего женщина узнает о своем диагнозе при профилактическом осмотре.
Как правило, симптомы при кисте начинают наблюдаться тогда, когда образование осложняется или достигает существенных размеров и мешает функционированию других органов.
Безусловно, признаки кисты напрямую зависят от вида новообразования, но есть и общие симптомы, по которым можно заподозрить наличие кисты:
- ощущение тяжести в нижней части живота;
- боли, которые чаще всего бывают ноющими, но в некоторых случаях острыми и сильными;
- выделения из влагалища, которые не являются нормой;
- нарушения в ежемесячном цикле. Менструация может учащаться или вовсе отсутствовать;
- неприятные или даже болезненные ощущения во время половой близости;
- увеличение размеров живота, в некоторых случаях такое явление может наблюдаться только с одной стороны;
- стабильная ненамного повышенная температура;
- запоры;
- частое мочеиспускание, которое связано с давлением новообразования на мочевой пузырь.
Очень опасно состояние, когда киста разрывается, в этом случае необходима срочная госпитализация пациентки.
Разрыв кисты сопровождается следующими признаками:
- сильная боль, которая заставляет женщину принимать неестественное положение тела;
- рвота;
- набухание живота;
- кровотечение;
- иногда наблюдается потеря сознания;
- резкое повышение температуры, при этом жаропонижающие средства остаются неэффективными;
- кожные покровы бледнеют, губы могут стать синюшными.
Диагностические мероприятия
Чтобы не пропустить развитие кисты, необходимо проходить диагностическое обследование хотя бы 1 раз в год.
Дифференциальная диагностика заключается в следующем:
- гинекологический осмотр и пальпация. Опытный врач при визуальном осмотре и пальпации может определить наличие новообразования в яичниках. Об этом также могут свидетельствовать гипертрофированные придатки и боль в нижней части живота;
- УЗИ. Это исследование позволяет не только установить наличие кисты и оценить ее размеры, но и проследить динамику патологии;
- лапароскопия. Данное обследование может иметь диагностический или лечебный характер;
- лабораторный анализ крови. Как правило, в этом случае особо важно исследовать кровь на онкомаркеры, чтобы не пропустить начало развития онкологического процесса;
- пункция. Исследование жидкости, которая заполняет кистозное образование;
- КТ или МРТ. Чаще всего эти исследования назначают перед операционным вмешательством, чтобы получить больше информации о новообразовании.
ОБРАТИТЕ ВНИМАНИЕ!
Довольно часто врачи просят пациенток сделать тест на ХГЧ (на беременность), поскольку по своим проявлениям внематочная беременность очень похожа на кистозные образования. Данное исследование необходимо для дифференциации недуга и определения адекватной терапии.
https://youtube.com/watch?v=Imven0mjMIU
Самый эффективный метод обследования
Чаще всего кистозные новообразования у женщин диагностируются при помощи УЗИ. Данное исследование проводят на полный мочевой пузырь, что дает возможность с максимальной точностью определить размеры половых органов женщины, их форму и степень поражения кистозом яичников. Достоверность данного исследования составляет 99%.
Если у врача после проведения УЗИ остаются сомнения относительно правильности диагноза, пациентке предлагается пройти КТ или МРТ. Но чаще всего УЗИ достаточно, а данные методики назначаются в сложных случаях, когда поставить диагноз затруднительно.
Самый распространенный и эффективный способ, с помощью которого врачи диагностируют кистозное новообразование – это ультразвуковое исследование. В ходе данной процедуры пациентка не испытывает никаких негативных ощущений, и проводить УЗИ можно столько раз сколько это потребуется в ходе лечения и после удаления кисты, при этом не опасаясь отрицательного влияния на организм. УЗИ может проводиться трансабдоминально или трансвагинально (с использованием специальных датчиков). Трансвагинальное УЗИ дает более развернутую картину патологии, так как в этом случае во влагалище пациентки вводится зонт с датчиком, который определяет структуру новообразования и его тип, от этого зависит эффективность назначаемой врачом терапии.
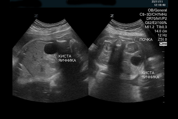
Как выглядит киста на УЗИ
Кистозное образование (простое) выглядит как анэхогенная полость, имеющая тонкие стенки, усиление эхо-сигнала четко прослеживается. Плотного содержимого в простой кисте нет, кровотока тоже.
Что касается злокачественных новообразований, они встречаются нечасто, особенно, если диагностированная однокамерная киста. Как правило, выявляются функциональные кисты, которые сформировались на фоне гормональных сбоев в организме.
Простые новообразования, которые не превышают 3 см, как правило, опасности не представляют. Если размер кисты после менопаузы достигает 7 см, чаще всего это тоже доброкачественные образования.
Если какие-то посторонние включения на УЗИ проанализировать сложно, пациентке может назначаться дополнительное обследование – КТ или МРТ.
При диагностике фолликулярной кисты на УЗИ выявляется однокамерное тонкостенное образование. Если в образовании имеется кровотечение, прослеживается диффузная взвесь.
Характерном признаком фолликулярной кисты на УЗИ является то, что кровоток внутри полости отсутствует.
Лютеиновая киста определяется по многочисленным кровеносным сосудам, которые наблюдаются в ее стенках. Кровоснабжения внутри полости нет.
Геморрагическая киста – это однокамерная киста, внутри которой видна гипоэхогенная взвесь. Также можно увидеть ажурную сетку из фибриновых нитей. По периферии кровоток имеется, но внутри образования его нет.
Параовариальная киста имеет ножку. Она может быть однокамерной или двухкамерной. Жидкость внутри полости анэхогенная, но, если имеется кровоизлияние, заметна фибриновая примесь.
Эндометриоидная киста внутри наполнена темным содержимым. Просматриваются наружные уплотнения. Имеются участки эндометриоза.
Тератома – однокамерная киста, которая имеет гипоэхогеннуюструктуру, также прослеживаются внутренние включения, являющиеся гиперэхогенными.
На фото ниже продемонстрировано УЗИ кисты яичника.
Когда делать УЗИ?
Когда именно делать УЗИ, нужно уточнять у лечащего врача, поскольку это зависит от целей данного исследования.
Плановый осмотр яичников для определения возможной патологии чаще всего назначается на 6-7 день цикла – сразу после окончания менструации или в ее последние дни.
Чтобы оценить функциональность органа, необходимо проводить исследование несколько раз за один менструальный цикл – на 9-10 день, на 15-16 день, на 23-24 день.
К процедуре необходимо подготовиться, причем подготовка зависит от способа, которым врач будет проводить исследование:
- перед трансректальным исследованием мочевой пузырь должен быть опустошен. За 12 часов до обследования необходимо опорожнить кишечник естественным путем, или при помощи слабительных, клизмы, свечей;
- перед трансвагинальным исследованием нужно пару дней принимать сорбенты, чтобы снизить газообразование. Мочевой пузырь перед исследованием должен быть опорожнен;
- перед трансабдоминальным исследованием нужно исключить из рациона продукты питания, которые вызывают брожение. За час до исследования нужно выпить около литра негазированной воды, и после этого не мочиться.
Анализ крови
Диагностика включает в себя:
- клинический анализ – общий и биохимический анализ, анализ на инфекции, коагулограмма;
- гормональный анализ – прогестерон, пролактин, тестостерон, эстрадиол, ЛГ, ФСГ;
- кровь на онкомаркеры – СА-125, НЕ-4, РЭА.
ВАЖНО!
Анализы сдают на голодный желудок, последний прием пищи должен быть не позднее, чем за 10 часов до сдачи крови. Из рациона нужно исключить кофе, чай, сладкие напитки. За сутки до анализа не разрешается употреблять алкоголь, жирное и жареное, лекарственные препараты, а также желательно снизить физическую нагрузку.
Тест на онкомаркеры
Онкомаркер – это белок, который относится к гликопротеину. Кровь человека содержит большое количество антигенов, и в случае развития злокачественного процесса, их количество превышает норму. Поэтому данный анализ позволяет опередить злокачественный процесс еще до того, как появятся клинические признаки.
Показания для данного анализа:
- потеря веса без видимых на то причин;
- тошнота и рвота;
- несбиваемая субфертильная температура;
- кровянисты выделения из влагалища;
- боль при интимной близости;
- ложные позывы к мочеиспусканию;
- увеличение лимфатических узлов;
- увеличение объемов живота.
Заключение и выводы
Подводя итоги, можно сказать, что диагностика кистозных новообразований в яичнике состоит из следующих мероприятий:
- сбор анамнеза;
- осмотр в гинекологическом кресле;
- лабораторные исследования крови;
- тест на беременность;
- УЗИ, КТ, МРТ;
- доплеровское цветное картирование;
- лапароскопия.
Для того чтобы лечение было максимально эффективным, оно должно быть правильным. Назначить правильное лечение возможно только при условии тщательной и всесторонней диагностики. Поэтому врачи редко назначают какой-то один вид исследования, чаще всего это диагностический комплекс.
Полезное видео
В видео рассказывается про диагностику и лечение кисты яичника:
https://youtube.com/watch?v=FepAQX027NA
Вопрос-ответ
В чём разница между кистой яичника и новообразованием яичника?
Кисты и новообразования яичников могут представлять опасность для здоровья женщины, и их ни в коем случае нельзя игнорировать. Киста яичника — это заполненный жидкостью мешок, который образуется на яичниках. Кисты довольно распространены у женщин детородного возраста и становятся менее распространенными после менопаузы. Новообразования яичников — это образования на яичниках или внутри них.
Можно ли на УЗИ отличить кисту от опухоли?
УЗИ позволяет отличить кисты от опухолей благодаря анализу контуров, эхоструктуры и кровотока в исследуемом узле. Регулярные обследования и консультации специалистов помогают вовремя выявить патологию и выбрать оптимальную тактику лечения.
С чем можно спутать кисту яичника на УЗИ?
Если на УЗИ находится жидкостная киста, а рядом здоровая ткань яичника, то выставляется диагноз параовариальная киста яичника. Но иногда, за кажущейся простотой скрываются более серьезные проблемы. Параовариальную кисту легко можно спутать с забрюшинной опухолью.
Нужно ли удалять кисту яичника в менопаузе?
Этот факт заставляет настороженно относиться к любому образованию на яичнике. Поэтому показанием к операции является любая киста на яичнике в период менопаузы. Такая операция носит профилактический характер и не позволяет развиться раку. Это общее правило.
Советы
СОВЕТ №1
Регулярно проходите гинекологические осмотры. Это поможет выявить кисты на ранних стадиях, когда они еще не вызывают симптомов. Врач сможет провести УЗИ и оценить состояние яичников.
СОВЕТ №2
Обратите внимание на свои симптомы. Если вы испытываете боли внизу живота, нарушения менструального цикла или другие необычные ощущения, не откладывайте визит к врачу. Эти симптомы могут указывать на наличие кисты или других заболеваний.
СОВЕТ №3
Изучите результаты УЗИ и проконсультируйтесь с врачом о том, что они означают. Понимание характеристик кисты (размер, форма, наличие жидкости) поможет вам и вашему врачу принять правильное решение о дальнейшем лечении.
СОВЕТ №4
Не паникуйте, если вам поставили диагноз кисты яичника. Многие из них являются доброкачественными и могут рассосаться самостоятельно. Однако важно следовать рекомендациям врача и регулярно контролировать состояние.





