
Такая патология возникает по многим причинам, ее появлению подвержены женщины разного возраста, особенно в периоды гормональных всплесков — беременности, лактации и климакса.
Несмотря на то, что киста — это доброкачественная опухоль, она имеет способность перерождаться в злокачественную форму. Поэтому новообразование требует пристального внимания со стороны медиков.
В этой статье вы узнаете о серозной кисте яичника — что она собой представляет, почему появляется, как ее лечить и прочее.
Сущность патологии
Серозная киста (цистаденома) — это наиболее распространенная доброкачественная опухоль яичника. По внешнему виду она напоминает мешочек, который заполнен жидкостью (серозой).
Оболочка кисты довольно плотная и неэластичная. Именно поэтому новообразование считают эпителиальной опухолью.
Цистаденома редко приводит к раку, но такие случаи встречались.
Пузырь внутри яичника может иметь совершенно разные размеры — от пары миллиметров до нескольких сантиметров в диаметре. Все зависит от гистологического строения кисты, количества ее камер и внутреннего содержимого.
Серозная киста может иметь ножку, на которой она подвешена и связана с маточной трубой. В таком случае она растет в бок брюшной полости. Она может быть однокамерной, двухкамерной или многокамерной.
Цистаденома может располагаться как внутри правого яичника, так и внутри левого яичника, а в некоторых случаях — одновременно в двух.
Более половины пациенток обращаются к врачу только после того, как опухоль достигнет от 5 см, а все потому, что на ранних стадиях серозная киста не беспокоит свою обладательницу.
Серозная киста изначально формируется в одном из яичников. Второй же яичник сохраняет свою функцию выработки яйцеклеток, поэтому беременность при наличии кисты вполне возможна.
Как правило, опухоль представляет собой однокамерное или многокамерное новообразование. При присоединении воспалительного процесса гладкая блестящая поверхность кистомы становится матовой и покрывается спайками.
Цистаденома может со временем появляться и в другом, здоровом яичнике, это явление называется поликистоз.
Цистаденома яичника в силу своих достаточно больших размеров опасна только в плане перекрута ножки и связанных с ним осложнений. Высока вероятность, что через несколько недель серозная киста уменьшится или совсем исчезнет. Но в любом случае, женщина с таким диагнозом обязана быть под наблюдением гинеколога, принимать гормональные таблетки и раз в квартал проходить УЗИ. Если будет наблюдаться тенденция роста новообразования — показано хирургическое вмешательство.
https://youtube.com/watch?v=Vn5U5U-hwyw
Сопутствующие симптомы
На начальном этапе патология никак себя не проявляет. Опухоль маленькая и определить ее можно только при помощи УЗИ.
Но со временем киста начинает расти, и ее можно распознать по следующим симптомам:
- наблюдается нарушение менструального цикла (критические дни протекают болезненно, а количество крови значительно увеличивается, либо наоборот, уменьшается);
- беспокоят болевые ощущения над лобком, в паху (характер боли — ноющая схваткообразная);
- появляется раздражительность, нервозность;
- нарушается сон, беспокоит упадок сил, апатия;
- учащается мочеиспускание;
- может повышаться температура тела;
- в запущенных случаях отчетливо наблюдается ассиметричное увеличение живота.
ВАЖНО!
Если женщину беспокоит какой-либо из вышеперечисленных симптомов, следует безотлагательно обратиться к гинекологу за консультацией.
Причины возникновения
Источник возникновения кисты — это наружные серозные оболочки, которые начинают процесс внедрения в ткани яичника. Но однозначного мнения на счет того, почему это происходит нет.
Выделяют несколько причин, которые вызывают формирование цистаденомы:
- гормональный сбой;
- наследственный фактор;
- заболевания эндокринной системы (увеличение щитовидной железы);
- воспалительные заболевания маточных труб;
- заболевания, передающиеся половым путем;
- постоянное перегревание паховой области и низа живота (горячие ванны, солярий, длительное пребывание на солнце);
- неправильный прием гормональных контрацептивов;
- аборты и операции на органах малого таза.
https://youtube.com/watch?v=oVAnXspRL20
Виды образований
Цистаденома бывает трех видов:
- паратубарная (локализируется на маточных трубах);
- простая;
- папиллярная (располагается внутри яичников).
Паратрубарная киста представляет собой капсулу до 2-х см в диаметре с серозной жидкостью внутри. Не способна озлокачествляться. Длительное время не доставляет никаких дискомфортных ощущений и только при большом диаметре женщина начинает чувствовать схваткообразную боль.
Папиллярная киста состоит из нескольких отделов, внутренняя оболочка ее состоит из цилиндрического или кубического эпителия. При быстром роста такой вид новообразований рекомендован к удалению. Образуется из-за нарушений в работе эндокринной системы. Обнаруживается у женщин до 40 лет. Симптомы — частое мочеиспускание, боль в пояснице и внизу живота.
Простая киста в большинстве случаев поражает правый яичник. Она однокамерная, внутри желтоватая жидкость. Размер варьируется от 4 до 15 см. Возникает у женщин в период менопаузы, т.е. после 50 лет.
Диагностические мероприятия
Чтобы подтвердить диагноз «серозная киста», необходимо пройти комплексное гинекологическое исследование.
К нему относятся:
- осмотр акушера-гинеколога (в области придатков матки выявляют подвижное и упругое новообразование с гладкой поверхностью);
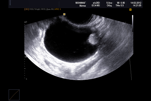
- УЗИ органов малого таза (помогает выявить опухоль от 3-х см с плотной гладкой капсулой, для нахождения более мелкой кисты следует использовать трансвагинальный датчик);
- магнитно-резонансная томография (создается трехмерная модель цистоаденомы);
- цветовая допплерография (помогает отличить злокачественную опухоль от доброкачественной);
- анализ крови на онкомаркеры (позволяет исключить развитие онкологии).
На фото ниже показано, как киста выглядит на УЗИ.
Хирургическое удаление
Серозную кисту яичника удаляют при помощи нескольких способов:
- клиновидной резекции (иссекают треугольный участок поврежденной ткани);
- аднексэктомии (удаление придатков — маточный труб и яичников);
- цистэктомии (сохраняют здоровую ткань, иссекая только капсулу);
- лапароскопия (удаление кисты через маленький разрез; снижает риск осложнений в послеоперационный период, позволяет исключить спаечный процесс).
Восстановительный период после операции длится в течении полутора-двух месяцев.
Консервативное лечение
Индивидуально подобранные лекарственные препараты позволяют нормализовать гормональный фон и остановить рост опухоли.
На ранней стадии заболевания, когда цистаденома не достигла внушительных размеров, лечение проводится медикаментами.
Они включают в себя:
- витамины;
- гормональные таблетки;
- противовоспалительные средства;
- рассасывающие вещества.
Лекарственные препараты назначают женщинам в детородном возрасте. Это нужно, чтобы сохранить возможность забеременеть и родить ребенка.
Самыми распространенными гормональными таблетками являются:
- Диане-35;
- Логест;
- Три-регол.
Также используется Дюфастон или Утрожестан — эти препараты являются аналогами прогестерона, который облегчает работу желтого тела. Именно Дюфастон является самым эффективным лекарством в лечении серозной кисты яичника, ведь он практически не имеет побочных эффектов.
ОСТОРОЖНО!
Оптимальная дозировка препарата подбирается исключительно врачом, опираясь на результаты обследований и анализов. Самолечение недопустимо!
Также назначается комплекс физиотерапевтических процедур, например грязелечение или магнитотерапия.
Существуют и народные способы облегчения болевого синдрома и снятия воспаления при наличии цистаденомы.
Вот некоторые из них:
- раствор поваренной соли. Необходимо размешать 1 ст.л. соли в стакане горячей воды, дать раствору остыть. Намочить в нем полотенце и прикладывать к низу живота на 15 минут. Действие компресса основано на свойстве соли вытягивать жидкость;
- настой растений и трав. Следует смешать в равном количестве донник, мать-и-мачеху и ромашку аптечную, залить их холодной водой, довести до кипения и настаивать 12 часов, после чего процедить и пить по 0.5 стакана перед каждым приемом пищи.
Влияние на беременность
В период беременности активно вырабатывается гормон пролактин, который может препятствовать росту серозной кисты.
Беременным женщинам назначают гормональную терапию, чтобы избежать перекрута яичника.
Цистаденома размером до трех сантиметров не помешает выносить ребенка. Если же опухоль больше этого диаметра, то на сроке до 12-ти недель существует риск самопроизвольного аборта.
Это происходит из-за поднятия матки в полость живота — ножка кисты перекручивается и происходит выкидыш. В таких случаях требуется безотлагательное хирургическое вмешательство.
Беременным чаще всего проводят лапароскопию.
Другие виды кист
Серозная киста — это далеко не единственный вид подобных новообразований на яичниках.
Есть еще несколько разновидностей, к которым относятся:
- геморрагическая (появляется из-за кровоизлияния внутри кисты желтого тела);
- киста желтого тела (может быть от 2 до 7 см в диаметре, имеет толстые стенки и желтую поверхность);
- эндометриоидная (образуется из-за роста тканей слизистой оболочки матки в яичниках);
- фолликулярная (диаметр — 1-7 см, полость новообразования обладает тонкими стенками и гладкой поверхностью);
- муцинозная (полость кисты заполнане слизеобразной жидкостью — муцином, поверхность опухоли шероховатая);
- дермоидная (выглядит как жир, кожа или хрящи, заключенные в слизеобразную массу).
Возможные осложнения
Основной опасностью серозной кисты является сдавливание соседних органов, в результате чего нарушаются функции последних.
Иногда наблюдается рецидив заболевания после оперативного вмешательства и злокачественное перерождение новообразования.
ВАЖНО!
Самым серьезным осложнением кисты считают перекрут ножки с некрозом опухоли, либо ее разрыв. При последнем состоянии содержимое цистаденомы попадает в брюшную полость и возникает внутреннее кровотечение.
Симптомами разрыва кисты являются:
- повышение температуры тела;
- резкая боль внизу живота;
- тошнота, рвота;
- головная боль, недомогание, слабость;
- бледность кожи;
- потеря сознания;
- кровянистые выделения из влагалища.
Если наблюдаются вышеприведенные симптомы, нужно срочно вызвать скорую помощь. Требуется безотлагательная операция.
Заключение
Своевременное обнаружение серозной кисты — это первый шаг к выздоровлению.
При необходимости хирургического вмешательства прогноз заболевания достаточно благоприятный. Опухоль редко подвергается рецидивам и озлокачествлению.
Даже при беременности цистаденома — не приговор. Современные гормональные препараты способны сдержать рост кисты, чтобы будущая мама смогла успешно доносить и родить своего малыша.
Полезное видео
В видео рассказывается, что такое киста яичника:
https://youtube.com/watch?v=XkNm8thZYvU
Вопрос-ответ
Что такое серозная киста яичника?
Серозная киста яичника представляет собой доброкачественное новообразование, содержащее внутри серозную (прозрачную) жидкость. Такие кисты формируются из самих яичников и являются одним из наиболее распространенных видов кист яичников. Серозные кисты могут развиваться как в одном, так и в обоих яичниках одновременно.
Нужно ли удалять серозную кисту?
Лечение серозной цистаденомы. Если все-таки исключается функциональный характер кисты, то лечение цистаденомы яичника должно быть только оперативным. Самостоятельно такая киста яичника никогда не исчезнет.
Чем опасна серозная цистаденома яичника?
Чем опасна серозная цистаденома яичника? Среди осложнений, возможных при серозной цистаденоме, — разрыв капсулы, апоплексия яичника, при которых кистозное содержимое или кровь попадают в брюшную полость, что приведет к развитию перитонита. В подобной ситуации важно немедленно обратиться в хирургию.
Серозная кистаденома — доброкачественная или злокачественная?
Серозные кистаденомы (СК) — наиболее распространенные доброкачественные кисты поджелудочной железы, выявляемые при визуализационных исследованиях. Они имеют типичные морфологические признаки, но могут также демонстрировать атипичные особенности, имитирующие предраковые и злокачественные кисты.
Советы
СОВЕТ №1
Регулярно проходите гинекологические осмотры. Это поможет своевременно выявить любые изменения в состоянии яичников, включая серозные кисты, и начать лечение на ранних стадиях.
СОВЕТ №2
Обратите внимание на свои симптомы. Если вы заметили изменения в менструальном цикле, боли внизу живота или другие необычные ощущения, не откладывайте визит к врачу для диагностики.
СОВЕТ №3
Изучите факторы риска. Знание о том, какие факторы могут способствовать образованию серозных кист, поможет вам принять меры для их минимизации, такие как поддержание здорового образа жизни и контроль гормонального фона.
СОВЕТ №4
Не бойтесь задавать вопросы своему врачу. Если вам поставили диагноз серозной кисты, уточните все детали о состоянии, возможных методах лечения и необходимых обследованиях, чтобы быть уверенным в своем здоровье.





