
Образование выглядит, как округлый вырост на ножке, напоминающий грибок, размером от нескольких миллиметров до нескольких сантиметров.
Возникает полип на эндометрии выстилающем матку, либо в ее канале.
В этой статье мы поговорим о методах диагностики полипов в матке и в частности о том, можно ли их увидеть на УЗИ. Из нее вы узнаете, в чем особенности ультразвукового исследования данной патологии.
Что такое полип
Полип — патологическое разрастание тканей над эндометрием во внутреннем слое эндометрия матки.
Подобные новообразования бывают следующих видов:
- железистыми;
- фиброзными;
- железисто-фиброзными.
Железистый тип характерен тем, что состоит из тканей желез. Данная патология чаще встречается у женщин репродуктивного возраста. Фиброзный полип состоит из соединительной ткани, и диагностируется в основном у женщин в постклимактерическом периоде. Смешанное строение, как видно из названия, имеют железисто-фиброзные образования.
Отсутствие лечения может привести к следующим последствиям:
- малигнизация новообразования;
- бесплодие;
- выкидыш и замерзшая беременность;
- развитие анемии.
ВАЖНО!
В группу риска входят женщины с избыточным весом, страдающие гипертонией и эндокринными нарушениями в анамнезе.
Симптоматические проявления зависят от количества и размеров новообразований.
При небольших полипах, как правило, какие-либо признаки их наличия отсутствуют, и обнаружить их можно только при плановом осмотре в гинекологическом кабинете.
Большие образования характерны следующими симптомами:
- межменструальные кровотечения;
- обильные менструальные кровотечения;
- нерегулярные месячные;
- анемия;
- выделения с прожилками крови после секса;
- дискомфортные, болевые ощущения внизу живота;
- маточные кровотечения в период менопаузы.
Как правило, симптомы появляются, когда образования в матке становятся множественными или большими в размерах.
Чтобы вовремя выявить или предупредить заболевание, а также своевременно принять необходимые меры по его лечению, женщина должна систематически посещать гинеколога и проходить УЗИ органов малого таза.
https://youtube.com/watch?v=cDaPyA5a2aQ
Диагностические меры
Диагностические мероприятия могут состоять из нескольких этапов. О полипозе больная может услышать, посетив гинеколога для профилактического осмотра.
Если полипы локализуются в области шейки, то врач сможет определить их на гинекологическом осмотре при помощи зеркал. Для более детальной диагностики применяются специальные аппаратные устройства и методы.
При выявлении полипов обязательно проводится гистология образований, которая поможет выявить характер и структуру образовавших их клеток.
Диагностика включает следующие мероприятия:
- стандартный гинекологический осмотр. Полипы имеют округлую или гроздевидную форму, имеют ярко-красный цвет (реже розовый). При этом отдельное место занимает обследование шейки матки, она обычно утолщена и гипертрофирована. В случае, когда полип имеет темный или даже фиолетовый оттенок, это говорит о нарушении кровообращения. На ощупь образование эластичное и мягкое;
- цервископия — инструментальное обследования шейки матки при помощи гистероскопа, который оборудован видеокамерой. Данный метод позволяет правильно оценить состояние больного, без причинения какого-либо вреда организму, при этом можно выявить даже самые мелкие новообразования, некроз тканей эндометрия. Цервископии позволяет изучить полип не только размерно, но и структурно. Для выявления или опровержения развития раковых клеток ткани образования отправляют на биопсию;
- кольпоскопия — позволяет оценить состояние входа во влагалище и его стенок. Для процедуры применяется специальное устройство — кольпоскоп – оптический прибор, со встроенным бинокуляром и лампой для освещения;
- УЗИ. При диагностировании полипоза на шейке имеется риск развития образований и на внутренних слизистых матки. В таких случаях новообразование досконально изучается на УЗИ. Специалист получает детальные сведения о толщине эндометрия, его структурных изменениях, множественности и размерах полипа. Преимущество УЗИ матки заключается в том, что данный метод диагностики позволяет дополнительно оценить состояние яичников и маточных труб, что будет учтено гинекологом в последующем лечении больной;
- гистероскопия. Данный метод характерен в проведении микрохирургических (малоинвазивных) вмешательств для получения детальной информации о состоянии полости матки. При этом используется специальный оптический прибор — гистероскоп. Данный метод позволяет не только выявить новообразования, но и попутно их удалить. Далее иссеченные ткани отправляются на лабораторное изучение структуры и характера клеток;
- визуализировать полипы может и метрография – рентгеновское исследование полости матки с использованием контрастного вещества. Все неровные очертания будут видны на снимке, в том числе и полипы.
Полипоз в полости матки можно заподозрить после сбора анамнеза и осмотра на гинекологическом кресле. Подтвердить диагноз поможет УЗИ-диагностика, но проводить ее следует через 3-5 суток после начала нового менструального цикла, иначе отличить утолщенный эндометрий от полипа не представляется возможным. Также может помочь гистероскопия и выскабливание полости матки. Эти процедуры можно считать лечебными, ведь во время их проведения удаляются и полипы.
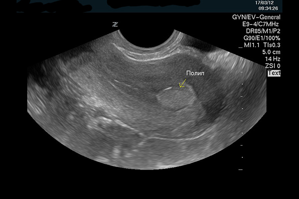
Как выглядит патология на УЗИ
Если есть подозрение на полипы в матке, врачу полипоз необходимо дифференцировать заболевание от других патологий:
- опухолей эндометрия;
- миоматоза;
- кист;
- эрозии или очагов воспаления.
Характерная черта полипа, в отличие от опухолевого образования любой природы, — наличие ножки и тела (грибовидная форма). Если полип находится в шеечном канале, то ножка присутствует обязательно, так как орган имеет анатомически вытянутую форму.
Насколько же хорошо видны полипы на УЗИ? Есть ли какие-либо особенности?
На УЗИ полип характерен некоторыми особенностями:
- округлой формой ;
- четкими контурами;
- расширением шеечного канала и полости матки;
- умеренной деформацией срединно-поперечной части М-эхо;
- наличие кист эндометрии рядом с основанием ножки образования.
ОБРАТИТЕ ВНИМАНИЕ!
УЗИ-признаки полипов по месту расположения, размерам и формам отличаются незначительно, поэтому при помощи данного исследования можно лишь точно подтвердить факт аномального разрастания эндометрия. Самым информативным методом определения характеристик полипа и его структурных особенностей считается гистологическое исследование.
Подготовка к УЗИ органов малого таза зависит от того, какой метод будет использоваться при этом:
- абдоминальное исследование. За сутки до назначенной процедуры не следует потреблять продукты, вызывающие повышенное газообразование. Процедура проводится с наполненным мочевым пузырем;
- трансвагинальное УЗИ. Данный метод диагностики не требует наполнения мочевого пузыря, наоборот его делают после опорожнения перед процедурой;
- внутриматочная диагностика. Никаких специальных мер не требует. Однако желательно, чтобы мочевой пузырь был опорожнен непосредственно перед исследованием.
На фото ниже показано изображение УЗИ полипа в матке.
https://youtube.com/watch?v=DxPMiHbyDvo
Методы лечения
Главным методом избавления от полипов в матке считается эндоскопическое удаление. Образования удаляют во время гистероскопии. Как правило, процедура проводится через 2-3 суток после окончания месячных. Это обусловлено тем, что в данный период слой эндометрия тонкий и полипы хорошо просматриваются. Иссечение производят электрической петлей, затем место отрыва прижигают.
Если полипы имеют небольшие размеры, то специалист может назначить консервативную терапию — прием гормональных препаратов.
Подобные средства сокращают продуцирование эстрогенов, при этом уровень прогестерона растет. В результате гормональные причины возникновения полипоза устраняются, а новообразования высыхают и выходят из полости матки с менструальными кровотечениями.
ВАЖНО!
В качестве профилактических мер против рецидивов и мониторинга эффективности проведенной терапии необходимо находиться под постоянным наблюдением специалиста.
Когда рост полипов вызван эндометриальный воспалением, назначаются антибиотические средства.
При множественности образований лечение дополняется эндометриальным выскабливанием зон разрастания образований. После процедуры, травмированные участки дезинфицируют специальным раствором, а ткани удаленных полипов отправляют на гистологическое исследование.
Заключение
Если диагностирован полип в матке, впадать в панику не следует.
После хирургического иссечения обычно рекомендуется курс гормонального лечения.
В случае выявления скрытых очагов инфекции необходимо пройти терапию, направленную на устранение данных проблем.
Полезное видео
На видео показано, как выглядит на УЗИ полип эндометрия матки:
https://youtube.com/watch?v=N38K29GrdZY
Вопрос-ответ
Как понять, что у тебя полип матки?
Полип матки может проявляться различными симптомами, такими как нерегулярные менструации, обильные или продолжительные кровотечения, а также боли внизу живота. Однако у многих женщин полипы могут не вызывать никаких симптомов. Для точной диагностики рекомендуется обратиться к врачу, который может провести ультразвуковое исследование или гистероскопию.
Что болит при полипах в матке?
Некоторые женщины, имеющие полип эндометрия, жалуются на схваткообразные боли внизу живота, которые могут усиливаться во время полового акта.
С чем можно спутать полип в матке?
Иногда полип можно спутать с миомой, псевдополипом – сгустками эндометрия, которые выйдут из матки во время менструации. Чувствительность гораздо выше у соногистерографии – золотого стандарта диагностики полипов.
Как выглядит полип в матке на УЗИ?
Полип матки на УЗИ выглядит как новообразование с четким контуром. Другим его признаком может стать расширение полости и утолщение стенки матки. Для диагностики новообразований лучше всего подходят 5-7 дни менструального цикла.
Советы
СОВЕТ №1
Регулярно проходите ультразвуковое исследование органов малого таза. Это поможет своевременно выявить полипы и другие патологии, что значительно упростит их лечение и снизит риск осложнений.
СОВЕТ №2
Обратите внимание на симптомы, такие как нерегулярные менструации, боли внизу живота или необычные выделения. Если вы заметили что-то из перечисленного, не откладывайте визит к врачу для дальнейшего обследования.
СОВЕТ №3
Проконсультируйтесь с гинекологом о возможности проведения дополнительных исследований, таких как гистероскопия, если УЗИ показало наличие полипов. Это поможет точно определить их размер и количество, а также выбрать оптимальный метод лечения.
СОВЕТ №4
Не забывайте о важности здорового образа жизни. Правильное питание, регулярные физические нагрузки и отказ от вредных привычек могут помочь снизить риск развития полипов и других заболеваний репродуктивной системы.



