
Данное образование является доброкачественной опухолью, и в злокачественный процесс трансформируется в крайне редких случаях.
Заболевание абсолютно не является причиной бесплодия, и, хотя некоторые виды могут препятствовать зачатию, беременность при миоме матки не является чем-то исключительным.
Влияние миоматозного образования на вынашивание ребенка и роды довольно специфическое, поэтому беременные женщины с миомой должны находится под пристальным контролем врачей.
В статье речь пойдет о том, можно ли беременеть и рожать при миоме матки, а также насколько это опасно.
Что такое миома
Образование в матке развивается в результате мутационных процессов в одной клетке мышечной ткани, затем начинается бесконтрольное деление, которое приводит к росту опухоли.
Размеры миомы, как правило, исчисляются в акушерских неделях, хотя врачи могут их указывать и в сантиметрах тоже.
Чаще всего диагностируются множественные миоматозные узлы, единичные встречаются реже.
Клиническая картина миомы матки может быть яркой или слабо выраженной, это зависит не только от размера опухоли, но и от места ее локализации.
В большинстве случаев тех женщин, кто заболели миомой матки, беспокоят такие симптомы, как:
- изменение в цикле — может наблюдаться задержка или его сокращение;
- болевые ощущения;
- кровотечения между менструациями;
- увеличение объема живота, из-за чего миому можно иногда спутать с беременностью;
- нарушения в дефекации и мочеиспускании.
Причинами развития миоматозного образования является дисбаланс женских половых гормонов – прогестерона и эстрогена.
Имеются также и другие провоцирующие факторы:
- эндокринные заболевания;
- избыточный вес;
- малоактивный образ жизни и неправильное питание;
- чрезмерные физические и психологические нагрузки;
- механические повреждения в результате частых абортов, выскабливаний, сложных родов и хирургических вмешательств;
- наследственность;
- отсутствие половой жизни, родов, лактации и др.
Классифицируется миома по месту локализации:
- субмукозная (подслизистая) — растет внутри детородного органа;
- интерстициальная (внутримышечная) — располагается внутри мышечных волокон;
- субсерозная (подбрюшинная) – локализуется на внешней стенке органа и растет в сторону брюшной полости;
- интрамуральная (межсвязочная) — образуется между маточными связками;
- редкий вид – шеечная – растет на шейке матки.
Выделяют миомы на ножке и диффузные. Кроме того, образование может быть простым и пролиферирующим.
ВАЖНО!
Диагностировать миому на ранних стадиях по симптоматике невозможно. Клиническая картина проявляется только с ростом образования. Однако, именно ранняя диагностика позволяет лечить заболевание консервативными способами. Вот почему гинекологи настаивают на регулярных профилактических осмотрах.
Обнаружение миомы матки во время беременности вызывает у женщин множество вопросов и опасений. Врачи отмечают, что миома, как правило, не является противопоказанием для вынашивания ребенка. Однако важно учитывать размер и расположение опухоли, а также наличие сопутствующих заболеваний. В большинстве случаев женщины с миомой могут успешно родить, но им требуется регулярное наблюдение у специалиста.
Медики подчеркивают, что миома может влиять на течение беременности, вызывая такие осложнения, как преждевременные роды или неправильное положение плода. Тем не менее, многие женщины делятся положительным опытом, утверждая, что смогли выносить и родить здоровых детей, несмотря на наличие опухоли. Важно, чтобы каждая пациентка получала индивидуальный подход и консультации от квалифицированных врачей, что поможет минимизировать риски и обеспечить безопасность как для матери, так и для ребенка.
https://youtube.com/watch?v=-fN0nXQ4ZMw
Какое влияние оказывает на беременность
Каждый из перечисленных видов миоматозных образований по-разному влияет на зачатие и вынашивание беременности, прогнозы тоже зависят от локализации образования.
При субсерозном образовании узлы выбухают в область брюшины, при этом может происходить сдавливание маточных труб, что приводит к нарушению их перистальтики. Оплодотворенная яйцеклетка с трудом продвигается в матку, что повышает риски внематочной беременности.
В некоторых случаях образование негативно влияет на кровообращение в яичниках, что тоже не способствует благополучному зачатию.
В случае наступления беременности субсерозная миома особого влияния на плод не оказывает, поскольку рост ее направлен не в сторону маточной полости, а наружу.
При субмукозном узле образование растет в маточную полость, что может приводить к деформации органа.
При этом есть риск неправильного прикрепления плодного яйца, что чревато отторжением. В случае же успешного прикрепления оплодотворенной яйцеклетки миоматозное образование может впоследствии давить на плод, вызывая отставание в развитии или деформацию черепной коробки.
При интерстициальной миоме важно опередить, куда выпячивается узел – внутрь или наружу.
Кроме того, благоприятный прогноз будет зависеть от того, куда именно прикрепилось плодное яйцо. Если оно прикрепилось в непосредственной близости к узловому образованию, то прогноз будет ухудшаться. Это опасно плацентарной недостаточностью, отслойкой плаценты и сильным кровотечением при родах.
ОБРАТИТЕ ВНИМАНИЕ!
Забеременеть, благополучно выносить и родить ребенка вполне возможно и при миоме матки. Все зависит не только от локализации образования, но и от ответственности женщины. Врачебный контроль над беременной должен быть квалифицированным, а будущая мама должна выполнять рекомендации врача неукоснительно.
Мешает ли зачатию
Если миома малых или средних размеров, она не влияет на беременность и период вынашивание, как правило, проходит удовлетворительно. В случае большого размера зачатие чаще всего не возможно, а если наступает, то выносить малыша женщина не может.
Маленьким образование считается, если его размеры не превышают 2 см (4-5 неделя), средней – до 6 см (6-11 неделя), большой – более 6 см (12 недель и больше).
Миома больших размеров практически всегда мешает зачатию и вынашивания ребенка. Дело в том, что крупные образования сдавливают и пережимают маточные трубы и яичники, а это, в свою очередь, отрицательно сказывается по процессе оплодотворения.
Кроме того, большой размер образования не позволяет плодному яйцу прикрепиться к здоровой ткани, что провоцирует отторжения оплодотворенной яйцеклетки.
Обнаружение миомы матки во время беременности вызывает у женщин множество вопросов и опасений. Многие боятся, что опухоль может негативно сказаться на здоровье как матери, так и ребенка. Однако, по словам врачей, в большинстве случаев миома не является препятствием для вынашивания и родов. Важно регулярно проходить обследования и следить за состоянием миомы, так как она может изменяться в процессе беременности.
Отзывы женщин, столкнувшихся с этой проблемой, разнообразны. Некоторые делятся положительным опытом, отмечая, что смогли успешно родить здоровых детей, несмотря на наличие миомы. Другие же рассказывают о сложностях, с которыми столкнулись, таких как боли или необходимость в кесаревом сечении. Важно помнить, что каждая ситуация индивидуальна, и консультация с врачом поможет принять правильное решение. Главное — не паниковать и следовать рекомендациям специалистов.
https://youtube.com/watch?v=3Qu2zr_RPHQ
Влияет ли на развитие плода
Субсерозная миома матки при беременности– это самый благоприятный вариант. Осложнения могут возникать только в том случае, когда в образовании начинаются некроз, опасный для ребенка.
В некоторых случаях субсерозное образование может вызывать фетоплацентарную недостаточность и гипоксические явления.
Субмукозная миома, находясь, например, на задней стенке матки, во время беременности не позволят плоду нормально развиваться по причине недостатка места в детородном органе. Если субмукозное образование имеет ножку, это может спровоцировать зияние зева, что влечет за собой угрозу инфицирования плода.
При интерстициальной форме миоматозного образования полость матки может деформироваться, а, следовательно, нормальное развитие плода будет нарушаться. Межсвязочная миома может провоцировать отслойку плаценты и деформацию плода, шеечная становится причиной выкидышей и мешает естественным родам.
На течение беременности влияет размер миоматозного образования и его локализация.
Можно ли рожать
Учитывая все выше сказанное, можно сказать, что миома при беременности может провоцировать осложнения. Беремененные с такими образованиями относятся к группе риска.
ВАЖНО!
Частота выкидышей при миоме составляет 60%, а у 25% беременных женщин роды начинаются преждевременно.
Однако грамотный подход к лечению миомы и соблюдение всех врачебных предписаний позволяют женщине выносить и родить здорового ребенка.
Если беременность при миоматозном образовании протекает нормально и не провоцирует осложнений, то женщина может благополучно родить естественным путем или с помощью кесарево сечения.
Беременная женщина должна периодически проходить допплерографическое обследование, чтобы наблюдать за миоматозным образованием, а также проходить гистероскопию для проверки матки на деформацию.
Роды не будут осложняться в следующих случаях:
- форма миомы субсерозная или интерстициальная;
- размер опухоли до 4 см;
- маточная полость не деформируется;
- образование без ножки;
- узел единичный.
Проблемы могут возникать если:
- узел более 6 см,
- опухоль располагается в шеечной области;
- множественное узловой образование;
- плацента прикрепилась в непосредственной близости к миоме.
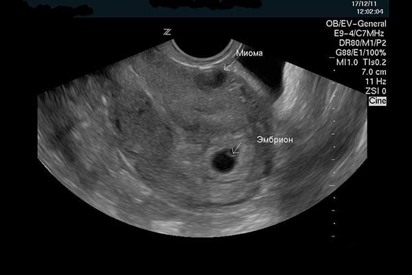
На фото ниже показана УЗИ миомы при беременности.
Последствия заболевания при беременности
После появления малыша на свет возможны следующие последствия:
- детское место прирастает к маточной полости;
- кровотечение;
- недостаточное сокращение матки;
- инфекции;
- боли в нижней части живота;
- вагинальные выделения.
После родов женщине назначается гормональная терапия, если положительного эффекта не наблюдается, рекомендуется миомэктомия.
После родов миома может увеличиться или уменьшиться в размерах, а также поменять место своей локализации.
Поэтому в каждом конкретном случае последствия могут быть индивидуальными.
Можно ли делать ЭКО
В ряде случаев ЭКО при миоме не делают. ЭКО – это довольно дорогостоящая процедура, которую врачи проводят только в том случае, если благополучный исход предположительно составляет выше 30%.
При миоме делать ЭКО противопоказано, если:
- образование больших размеров;
- имеются рубцы на репродуктивном органе, оставшиеся после удаления миомы хирургическим путем;
- была проведена гистроэктомия – полное удаление матки, что делает невозможным беременность.
ОБРАТИТЕ ВНИМАНИЕ!
Решать вопрос о возможности ЭКО необходимо с врачом. Если миома удалялась оперативно, то возможность ЭКО может обсуждаться только через 3-6 месяцев после вмешательства.
Лечение в период вынашивания
Целями лечения миомы при беременности являются:
- улучшение общего состояния женщины;
- улучшение кислородного обеспечения плода;
- предупреждение преждевременных родов;
- сохранение здоровья как матери, так и ребенка.
Лечение проводится разными способами, который в каждом конкретном случае подбирается врачом. В некоторых случаях миоматозное образование устраняется хирургическим путем с сохранением плода, например с помощью лапароскопии.
Что касается консервативной терапии, врач назначает прием лекарственных препаратов и витаминов, опять же в каждом конкретном случае подход к лечению индивидуальный. В большинстве случаев назначается Дюфастон.
Исчезает ли новообразование после родов
Дегенерация новообразования после родов очень вероятна, особенно если речь идет о миоме небольшого размера. Это обуславливается тем, что во время беременности и родов у женщины повышается уровень прогестерона, также возможно нарушение кровоснабжения образования, что приводит к его гибли.
ВАЖНО!
Отмирание миоматозных узлов в некоторых случаях приводит к некротическим изменениям в тканях опухоли, что может спровоцировать инфицирование тела органа или его шейки.
В случае некроза тканей у женщины возникают сильные боли в нижней части живота, повышение температуры, а на лабораторном анализе крови обнаруживается повышенное количество лейкоцитов и высокая СОЭ. Такая симптоматика сохраняется до двух недель, лечение в этом случае стационарное.
Рассосаться могут узлы до 4 см, образования больших размеров после родов либо остаются без изменений, либо увеличиваются в объеме.
Отзывы пациенток
Ниже представлены отзывы тех женщин, которые забеременели и рожали с миомой матки:
Заключение
Беременность и миома матки вполне совместимы, об этом говорит медицинская статистика.
Однако, даже очень грамотные и опытные врачи не могут предугадать, как поведет себя образование в процессе вынашивания ребенка.
Конечно лучше лечить миому до беременности, но, если женщина узнает о ее наличии, будучи уже в положении, она должна быть на особом контроле врачей.
Полезное видео
В видео рассказывается про миому матки и ее влияние на беременность:
https://youtube.com/watch?v=MwgY-7tHoC0
Вопрос-ответ
Как можно выносить ребенка при наличии миомы матки?
Зачастую миомы матки не требуют лечения во время беременности. Если у вас наблюдаются такие симптомы, как боль или дискомфорт, врач может назначить отдых. Иногда беременной женщине с миомами матки может потребоваться некоторое время пребывания в больнице из-за боли, кровотечения или угрозы преждевременных родов.
Чем опасна беременность при миоме матки?
Миома в период беременности. Повышается риск самопроизвольного аборта при миоме, что связано с нарушением кровообращения, увеличением сократимости матки, наличием хронических инфекционных заболеваний, гиперплазией, полипозом эндометрия.
Можно ли пить магний при миоме матки?
Для поддержки организма при миоме матки важно употреблять витамины группы B, C, D, E и минералы, такие как железо и магний.
Советы
СОВЕТ №1
Обязательно проконсультируйтесь с врачом. Если у вас обнаружена миома матки, важно обсудить с вашим гинекологом все возможные риски и варианты ведения беременности. Специалист сможет оценить состояние миомы и дать рекомендации, исходя из индивидуальных особенностей вашего здоровья.
СОВЕТ №2
Следите за своим состоянием. Регулярно проходите УЗИ и другие необходимые обследования, чтобы контролировать размер и состояние миомы. Это поможет выявить любые изменения и своевременно принять меры, если это потребуется.
СОВЕТ №3
Обратите внимание на свое питание и образ жизни. Здоровая диета, богатая витаминами и минералами, а также умеренные физические нагрузки могут помочь поддерживать общее состояние здоровья и снизить риск осложнений во время беременности.
СОВЕТ №4
Ищите поддержку и делитесь опытом. Общение с другими женщинами, которые прошли через подобный опыт, может быть очень полезным. Вы можете найти группы поддержки в интернете или на форумах, где можно задать вопросы и получить советы от тех, кто уже сталкивался с миомой матки во время беременности.




