
Киста яичника – это часто диагностируемая патология, которой подвержены женщины разных возрастов, но чаще всего она наблюдается у женщин детородного возраста.
Не стоит считать кисту неопасным заболеванием — при отсутствии лечения некоторые виды патологии могут приводить к довольно серьезным последствиям.
О них и пойдет речь дальше.
Сущность патологии
Кистозные новообразования яичника подразделяются на две большие группы – функциональные и органические.
Чаще всего гинекологи сталкиваются со следующими разновидностями кист:
- функциональные – фолликулярная и лютеиновая;
- органические – эндометриоидная, дермоидная, параоварильная.
Функциональные кисты – это в большинстве случаев временные новообразования, которые возникают при дисбалансе гормонального фона. Как только гормональный фон стабилизируется, они могут рассасываться самостоятельно.
ОБРАТИТЕ ВНИМАНИЕ!
Иногда женщина даже не подозревает о том, что у нее была киста, так как самоликвидация функциональных кист происходит в течение 3 циклов.
Органические кисты такими свойствами не обладают. Более того, не все они поддаются медикаментозной тактике лечения, поэтому их оперируют.
По каким причинам появляются кисты ученым до сих пор известно не до конца, но чаще всего причинами формирования кист выступают гормональные нарушения, воспалительные процессы, травмы и прочие провоцирующие факторы.
https://youtube.com/watch?v=oVAnXspRL20
Симптоматические проявления
Чаще всего кисты диагностируются случайно при профилактическом осмотре или при диагностике других патологий. Это связано с тем, что на начальных стадиях развития клинической картины заболевания нет.
Но если новообразование существует длительное время или оно осложняется, наблюдаются следующие признаки:
- боль. Этот симптом появляется тогда, когда кита достигает 4 см и более, и начинает давить на расположенные поблизости органы и ткани;
- проблемы с мочеиспусканием и актом дефекации. Такие признаки тоже начинают появляться при значительных размерах новообразования, когда оно пережимает мочевой пузырь или кишечник, и негативно влияет на их функциональность;
- сбои в ежемесячном цикле. Наблюдается при гормонозависимых новообразованиях. Женщину могут беспокоить нерегулярность цикла, слишком обильные, болезненные или скудные месячные;
- гирсутизм. Это недуг, который сопровождается оволосением по мужскому типу, огрубением голоса и прочими признаками увеличения концентрации мужских половых гормонов;
- увеличение объема живота. Такой симптом возможен при очень крупном новообразовании, причем, живот увеличивается ассиметрично.
Возможные последствия
Без адекватного и своевременного лечения могут возникнуть следующие последствия и осложнения:
- нарушение менструального цикла. Это наиболее безобидное последствие, которое можно поправить медикаментозным лечением. Чаще всего подобные нарушения провоцируют функциональные и лютеиновые кисты;
- перекрут ножки кисты. Когда новообразование достигает больших размеров, оно может давить на фаллопиевы трубы и нарушать кровоснабжение. В этом случае начинаются некротические процессы, и самыми печальными последствиями может быть полное иссечение органа, а в некоторых случаях и всех репродуктивных органов;
- разрыв кисты. Если стенки кисты не выдерживают ее внутреннего давления, которое увеличивается по мере роста новообразования, они лопаются и выпускают все содержимое кисты в брюшную полость. Это явление может быть очень серьезной угрозой не только для здоровья, но и для жизни женщины;
- бесплодие. Если к патологическому процессу присоединилось воспаление, произошел некроз тканей или развился поликистоз, женщина может навсегда лишиться радости стать матерью. Кроме того, если при осложнениях кисты были удалены яичники или матка, беременность также становится невозможной;
- спаечный процесс. Спайки – это срастание органов или тканей друг с другом. Если кистозное новообразование воспаляется, образуются спайки, которые могут стать причиной бесплодия.
Кистоз яичника только на первый взгляд кажется не опасным недугом. При отсутствии своевременной диагностики и правильного лечения, осложнения данного недуга могут угрожать не только здоровью, но и в некоторых случаях жизни женщины. Кистоз яичника не сопровождается яркой клинической картиной, и женщина узнает о своем недуге или случайно, или после того как киста стала осложняться. Разрыв кисты и перекрут ее ножки – это самые распространенные осложнения кистоза. Однако не стоит забывать и том, что некоторые кисты могут трансформироваться в онкологию.
https://youtube.com/watch?v=0oymQR0NWH0
Может ли образование трансформироваться в рак?
И киста, и рак по сути являются аномальными наростами, но их главное отличие в том, что рост кисты происходит за счет увеличения количества секрета, а рост злокачественной опухоли осуществляется за счет аномального деления клеточных структур.
Трансформация кистозного новообразования в онкологию происходит не часто, но исключить такую возможность полностью нельзя.
ВАЖНО!
В связи в потенциальной возможностью перерождения кисты в злокачественное новообразование необходима тщательная диагностика и правильное лечение. В случае подозрения на онкологический процесс, киста должна удаляться хирургическим путем, желательно вместе с яичником.
Разрыв кисты
Апоплексия чаще всего происходит в середине цикла или во второй его половине.
Клиническая картина разрыва следующая:
- внезапная и очень сильная боль;
- кровянистые выделения и влагалища, которые заканчиваются, как только происходит стихание боли;
- слабость, бледность, головокружение, в некоторых случаях кратковременная потеря сознания;
- тахикардия;
- резкое повышение кровяного давления, с последующим его таким же резким понижением;
- тошнота и рвота;
- повышение температуры;
- геморрагический шок.
Разрыв кисты может привести к перитониту и летальному исходу, поэтому женщина с подобной клинической картиной должна в обязательном порядке и очень быстро госпитализироваться.
Если общее состояние пациентки удовлетворительное, возможно консервативное лечение, которое заключается в приеме спазмолитиков, кровоостанавливающих препаратов и анальгетиков, постельном режиме и холоде на низ живота.
Операционное лечение осуществляется методом лапароскопии или лапаротомии.
Перекрут ножки
При перекруте ножки новообразования наблюдается следующее:
- боль без определенной локализации, которая разливается по всей нижней части живота и отдает в крестец;
- патологическое напряжение брюшной стенки;
- нарушение функциональности кишечника;
- повышение температуры;
- бледность кожи, холодный пот;
- учащенное и болезненное мочеиспускание, которое не имеет отношения к воспалительным процессам в мочевом пузыре;
- снижение артериального давления.
Если перекрут частичный, иссечение пораженного органа не требуется — производится раскрут, сохранение органа и детородной функции женщины.
При полном перекруте сохранить яичник можно не всегда.
Воспалительные процессы
Воспаление кисты сопровождается:
- болью;
- повышением температуры;
- тошнотой.
Высокая температура может быть не во всех случаях, и в легкой степени воспаления оставаться нормальной.
ОБРАТИТЕ ВНИМАНИЕ!
Если своевременно не среагировать на проблему, возможно развитие пельвиоперитонита. Это осложнение очень опасное и часто заканчивается удалением всех детородных органов.
Появление спаек
Спаечный процесс развивается на фоне воспаления.
Наличие спаек может препятствовать работе органов, и стать причиной бесплодия.
Клиническим признаком спаечного процесса является сбой в ежемесячном цикле.
Лечение чаще всего заключается в лапароскопической операции.
Влияние на беременность
Если причиной образования кисты стало гормональное нарушение, то скорее всего беременность не наступит. Но если причина формирования кисты кроется в другом, а само новообразование не является механическим препятствием для зачатия, беременность при кисте яичника возможна.
Однако женщина, вынашивающая малыша при наличии кисты, должна находиться на особом контроле врача, так как риск прерывания беременности достаточно высок.
Кроме того, при осложнениях кистозного образования возможно инфицирование плода и прочие негативные явления.
Если врач видит необходимость в удалении кисты во время беременности, операция проводится после 14 недели, беременность при этом сохраняется.
Функциональные кисты могут рассосаться во время беременности самостоятельно, поскольку нормальный фон женщины в этот период претерпевает изменения.
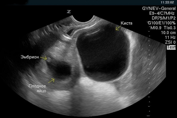
На фото ниже показано УЗИ беременности при кисте.
Осложнения после операции
Чаще всего последствия возникают после лапаротомии. Это может быть боль, кровотечения и воспаление шва. Также может отмечаться повреждение в ходе операции кишечника или мочевого пузыря, образование спаек.
После лапароскопии такие серьезные осложнения наблюдаются значительно реже, но инфицирование шва возможно и в этом случае.
При развитии воспалительного процесса у женщины поднимается температура, появляется боль в нижней части живота, влагалищные выделения темного цвета с неприятным запахом.
Что касается тяжелых последствий после операции, они могут возникать после удаления яичника, а также придатков и матки:
- бесплодие;
- спаечный процесс;
- нарушение гормонального фона;
- депрессия и стрессовые состояния;
- признаки климакса;
- проблемы с сосудами и сердцем;
- сухость и зуд во влагалище;
- снижение полового влечения;
- атеросклероз.
Заключение и выводы
Чтобы избежать негативных и опасных последствий кистозного новообразования в яичниках, необходимо:
- регулярно проходить профилактические осмотры у гинеколога;
- внимательно следить за своим женским здоровьем;
- ни в коем случае не игнорировать проявления патологии;
- не заниматься самолечением.
Полезное видео
В видео рассказывается про причины появления кисты, ее симптомы и последствия:
https://youtube.com/watch?v=Vn5U5U-hwyw
Вопрос-ответ
Какие осложнения могут возникнуть после удаления кисты яичника?
После удаления кисты яичника могут возникнуть осложнения, такие как инфекция, кровотечение, повреждение соседних органов, образование спаек, а также рецидив кисты. В редких случаях возможны проблемы с фертильностью или гормональные нарушения. Важно следовать рекомендациям врача для минимизации рисков.
Чем опасно удаление кисты яичника?
В некоторых случаях, если во время операции удаляется значительная часть яичника, это может сказаться на уровне гормонов и вызвать преждевременное наступление менопаузы. Есть также риск повторного образования кисты в том же или в другом яичнике.
Как влияет киста яичника на организм?
К осложнениям при кистах яичника относят перекручивание ножки кисты, кровоизлияния в брюшную полость, разрывы кистозного образования, инфицирование и развитие гнойного процесса. При перекручивании ножки кисты происходит нарушение её питания, сдавливаются нервы.
Может ли киста снова появиться после удаления?
Даже если после операции остается небольшой фрагмент оболочки кисты, возможна повторная киста (вырастет снова). Если кистозный нарост образовался повторно, его удаляют таким же образом, как в первый раз.
Советы
СОВЕТ №1
Регулярно проходите гинекологические обследования. Это поможет выявить кисту на ранних стадиях и предотвратить возможные осложнения. Не забывайте о важности УЗИ и других диагностических процедур, особенно если у вас есть предрасположенность к гинекологическим заболеваниям.
СОВЕТ №2
Обратите внимание на симптомы. Если вы заметили изменения в менструальном цикле, боли внизу живота или другие необычные ощущения, не откладывайте визит к врачу. Раннее обращение за медицинской помощью может снизить риск осложнений.
СОВЕТ №3
Изучите информацию о методах лечения. Понимание различных подходов к лечению кист яичников, включая медикаментозное и хирургическое вмешательство, поможет вам принимать обоснованные решения вместе с врачом.
СОВЕТ №4
Следите за своим образом жизни. Здоровое питание, регулярные физические нагрузки и отказ от вредных привычек могут помочь снизить риск развития кист и других гинекологических заболеваний. Уделяйте внимание своему психоэмоциональному состоянию, так как стресс также может негативно влиять на здоровье.




