Раздражение кожи, вызванное избыточным потоотделением при недостаточном испарении, называется потницей. Это состояние чаще всего встречается у маленьких детей из-за чувствительности их кожи. Однако потница также может возникать у взрослых, сопровождаясь неприятными высыпаниями и другими симптомами. Рассмотрим признаки и методы лечения этого состояния, и узнаем, как избавиться от него у взрослых?
Причины появления потницы у взрослых людей
Излишняя выделение пота может привести к блокировке потовых желез, вызывая раздражение кожи, а недостаточное испарение может вызвать потницу в ответ на такую реакцию.
К сведению, все причины потницы условно подразделяются на патологические – заболевания и нарушения в организме и естественные факторы.
Естественные причины возникновения потницы:
- Потница на голове возникает из-за неправильного ухода за волосами (у женщин), редко встречается у мужчин из-за перегрева;
- Жаркий и сухой климат. Иногда потница развивается во время акклиматизации;
- Высокая температура и влажность в помещении;
- Интенсивная физическая активность, занятия спортом;
- Тесная одежда из синтетических материалов. Заболевание проявляется на руках, теле, спине, животе;
- Нахождение в пропотевшей одежде в течение продолжительного времени. В группу риска попадают рабочие заводов, строек, горячих цехов;
- Из-за тесной и плохо вентилируемой обуви развивается потница на ногах у взрослых;
- Потница на лице возникает из-за использования некачественной косметики, плотных тональных кремов и прочего (у женщин);
- Несоблюдение гигиены, чрезмерное увлечение солнечными ваннами и другие причины.
Если причиной является естественная этиология, то лечение потницы у взрослых в домашних условиях не вызывает труда. Достаточно устранить причины, что приведет к уменьшению симптомов заболевания.
Патологические причины потницы у взрослых:
- Гипергидроз (повышенное выделение пота) может быть обусловлен наличием нарушений в работе эндокринной системы, инфекционными заболеваниями, туберкулезом, вегето-сосудистой дистонией и другими заболеваниями.
- Расстройства процессов обмена в организме. Выделение и испарение пота – это часть обменных реакций, при сбое наблюдается потница.
- Хронические заболевания сердечно-сосудистой и центральной нервной системы.
- Высокий температурный режим тела, лихорадочное состояние. В этом случае повышенное потоотделение является реакцией организма на высокую температуру, что раздражает кожный покров и провоцирует появление сыпи.
- Лишний вес или ожирение. Тучные люди обильно и часто потеют, а, как известно, пот раздражает кожный покров.
- Лежачие пациенты, которые в силу своей болезни не могут двигаться, выполнять гигиенические мероприятия.
Нередко высыпания развиваются из-за совокупности нескольких причин. Например, жаркое время года и плохо вентилируемая одежда.
Симптомы и места локализации сыпи
Перед тем как узнать, как лечить высыпания, давайте рассмотрим различные типы этого заболевания. В медицинской практике потница классифицируется на три основных вида. Тем не менее, некоторые медики считают апокринную разновидность отдельным типом.
Стоит знать: среди всех разновидностей сыпи у взрослых людей наиболее безопасным видом считают кристаллическую потницу.
Кристаллическая форма
Этот вид сыпи проявляется в форме небольших красных пузырьков диаметром до 1 миллиметра, они располагаются близко друг к другу. Кожная сыпь не вызывает болевых ощущений и не сопровождается никакими негативными симптомами, за исключением внешних проявлений. Пузырьки могут объединяться, что приводит к поражению большой площади.
Эта сыпь может появляться на стопах, лбу, лице, шее, теле, а также на сгибательных поверхностях нижних и верхних конечностей. Воспаление обычно возникает внезапно и так же быстро исчезает само по себе. В данном случае специфическое лечение потницы у взрослых не требуется.
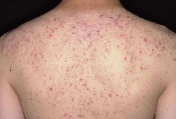
Красный вид
Краснуха у взрослых имеет другое название – воспалительная болезнь. Этот вид болезни характеризуется следующими особенностями:
- Появление высыпаний на коже в форме небольших пузырьков диаметром до 2 миллиметров, которые окружены четким красным краем;
- Внутри пузырька содержится мутный экссудат;
- Сильный зуд, вызванный воспалением верхнего слоя кожи;
- При запущенной форме болезни могут появиться влажные корки, что свидетельствует о наличии бактериальных осложнений.
Места поражения: между ягодицами, в складках живота, на локтях и предплечьях. Часто потница возникает под мышками и между ног.
Факт: потница между ног – частое явление у женщин, имеющих лишний вес. Требуется лечение, самостоятельно никогда не проходит.
Папулезная форма
Папулезная форма является разновидностью красной потницы, которая имеет тяжелое течение. Фактически, это продолжение красного вида, который не был подвергнут лечению. Характеризуется появлением небольших пузырьков и острым воспалением в верхних слоях кожи. Часто пациенты страдают от зуда, вызванного повышенной сухостью кожи.
Клиническая картина дополняется симптомами интоксикации организма, такими как повышение температуры тела, болезненные ощущения в пораженной области, покраснение и отечность. Сыпь проявляется на боковой поверхности груди, на животе, а также на нижних и верхних конечностях. Требуется длительное лечение в течение нескольких месяцев.
Апокринная форма
Этиология этого состояния связана с нарушением работы апокринных желез, которые находятся в области подмышечных впадин, заднего прохода, ареолы сосков и на больших половых губах у женщин. Воспаление проявляется появлением мелкой сыпи красного или розового цвета. Образуются инфильтраты, которые разрываются в глубоких слоях кожи. В большинстве случаев это сопровождается инфекционными процессами.
Лечение потницы у взрослых людей
Как избавиться от потницы? Чтобы победить эту проблему, необходимо определить ее тип. Если вы заметили признаки кристаллической формы, то лучше не прибегать к таблеткам. Достаточно устранить причину, соблюдать правила гигиены и обрабатывать пораженную область антисептическими растворами.
Если потница принимает осложненную форму, потребуются различные лечебные меры. Врачи рекомендуют принимать антигистаминные и противовоспалительные препараты, антибиотики, а также средства для местного применения с эффектом подсушивания.
Примечание: прием антибиотиков в таблетках целесообразен только при продолжительной потнице, которая осложнена инфекциями кожного покрова.
Нельзя самостоятельно поставить себе диагноз, поэтому необходимо обратиться к врачу. После осмотра врач расскажет, как лечить потницу у взрослых.
Схема лечения может включать следующие назначения:
- Антисептики помогают предотвратить развитие вторичной инфекции и высушить уже имеющиеся высыпания. В этом случае используют борную кислоту и раствор марганцовки.
- Присыпки рекомендуются для лечения потницы в паху у мужчин и женщин. Можно использовать детскую присыпку, нейтральный тальк, Банеоцин.
- Лекарства антигистаминного свойства помогают уменьшить зуд, жжение, снять отечность и устранить гиперемию. В этом случае назначают таблетки Супрастин, Тавегил.
- Средства местного действия, такие как мазь с цинком – Каламин, цинковая мазь, Циндол (как на фото) и другие; крем для ускорения регенерации кожи – Д-пантенол, Бепантен.
Если возникают осложнения, как вылечить потницу? В этом случае необходимо применение антибактериальных гелей, которые включают в себя антибиотики. Используют ихтиоловую мазь, Левомеколь. Гормональные средства от потницы у взрослых применяются редко, когда другие методы терапии не привели к успеху. Они используются только на короткие периоды, имеют много побочных эффектов и отменяются постепенно.
Терапия высыпаний на ногах
Лечение грибка на ногах начинается с устранения фактора, который способствует его развитию. Чаще всего причина кроется в носке тесной обуви. После того как этот фактор исключен, лечение заболевания не вызывает трудностей.
На ранней стадии заболевания, когда возникает вопрос о том, как избавиться от грибка на ногах, врач может рекомендовать следующие препараты:
- Мазь с цинком;
- Препарат “Боро плюс”;
- Препарат “Боротулси”.
Практика показывает, что лечение в домашних условиях с использованием этих лекарственных средств позволяет устранить проявления заболевания в течение пяти суток. Кроме того, рекомендуется делать ножные ванны, которые обладают противовоспалительным эффектом. Можно использовать кору дуба или аптечную ромашку. Если пациент страдает от сильного зуда и жжения, то применяются антигистаминные препараты, такие как Супрастин, Лоратадин и другие.
Если заболевание находится в запущенной стадии и присутствуют инфекционные процессы, то врач может назначить мазь с тетрациклином и эритромицином, а также таблетки для приема внутрь, например Доксициклин и Азитромицин.
Поскольку основная причина грибка – это повышенное потоотделение, для лечения высыпаний на ногах может быть рекомендовано хирургическое удаление нервных волокон, которые иннервируют потовые железы. В некоторых случаях их удаляют полностью.
Важно: эффект от оперативного пересечения нервных волокон остается на всю жизнь, но в качестве побочного действия может развиться компенсаторное увеличение потоотделения в других частях туловища.
При лечении любого заболевания важно соблюдать правила гигиены. Иногда этого достаточно, чтобы через короткое время избавиться от неприятных симптомов.
Частые вопросы
Каковы основные причины возникновения потницы у взрослых?
Потница у взрослых может возникать из-за различных причин, включая повышенную температуру окружающей среды, ношение синтетической одежды, стресс, аллергические реакции, инфекции и излишнее потоотделение.
Какие методы лечения потницы у взрослых существуют?
Для лечения потницы у взрослых можно использовать прохладные компрессы, антиперспиранты, применение противогрибковых средств, ношение легкой, натуральной одежды, а также избегание перегрева и стрессовых ситуаций.
Полезные советы
СОВЕТ №1
Избегайте ношения синтетической одежды, предпочитайте натуральные ткани, которые позволяют коже дышать и уменьшают риск развития потницы.
СОВЕТ №2
Следите за гигиеной кожи, особенно в местах склонных к потоотделению, используйте специальные средства для ухода за кожей, которые помогут предотвратить развитие потницы.
СОВЕТ №3
Избегайте перегревания организма, особенно в жаркую погоду, используйте кондиционеры, вентиляторы и принимайте прохладные души, чтобы снизить риск возникновения потницы.





