
Данная патология может встречаться не только у пациенток репродуктивного возраста, но и у женщин, находящихся в периоде менопаузы, а также у девочек с 11 лет.
Опасность полипоза не только в возможных кровотечениях и бесплодии, но и в том, что некоторые виды новообразований могут трансформироваться в злокачественные.
Лечение полипов возможно только хирургическим путем.
Все остальные методы лечения способны лишь приостановить рост патологии.
Что такое полип?
Термин «полипы» включает в себя широкую группу патологических разрастаний, которые имеют различную клеточную структуру и различную локализацию.
О видах полипов речь пойдет ниже.
По сути, это доброкачественное новообразование, которое может быть представлено одиночным или множественными наростами. Это образования узелковой формы, которые имеют тело и ножку, снабженную кровеносным сосудом.
Основной причиной развития этих новообразований считается патологическое разрастание ткани эндометрия, а также его неполное отторжение в период менструации.
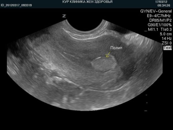
Диагностика заболевания проводится различными способами – цервикальные полипы (образования, находящиеся в шейке матки) можно увидеть на стандартном гинекологическом обследовании в кресле, а наросты, локализованные в полости матки (полипы эндометрия) можно диагностировать при помощи УЗИ, гистероскопии и кольпоскопии.
ОБРАТИТЕ ВНИМАНИЕ!
Что касается распространенности данного недуга, она достаточно широка – среди всех гинекологических заболеваний полипоз составляет 25%.
Диагностика и лечение полипа обязательны, даже если образование не доставляет женщине никаких неприятных симптомов, поскольку в некоторых случаях отмечается малигнизация образования.
Несмотря на небольшой процент (1-3%) такое явление все же имеет место, и сбрасывать со счетов его никак нельзя.
https://youtube.com/watch?v=cH2rMefLuts
Симптомы заболевания
Чаще всего клинической картиной полипозные образования не сопровождаются, но на более поздних стадиях могут иметь признаки заболеваний, в результате которых произошло их образование:
- Кровотечения различной выраженности. В некоторых случаях это примеси крови в стандартных выделениях, а в других – прорывные кровотечения, остановить которые может только врач. Интенсивность кровотечения зависит не от вида полипа, она связана только с объемом патологических изменений, которые влечет за собой полипозное образование.
- Увеличение объема крови, выделяемой в период менструации. Это обуславливается тем, что при полипозе нарушается структура сосудов.
- Болевые ощущения при половой близости. Это достаточно опасный симптом, особенно, если он наблюдается каждый раз при половом контакте, а также если эта боль сопровождается выделением крови.
- Появление кровянистых выделений у женщин, находящихся в состоянии менопаузы. В этом случае пройти обследование крайне важно, поскольку кровотечение может стать причиной образования злокачественного процесса.
- Анемия. Вследствие регулярных кровопотерь, у пациентки возможно развитие анемического синдрома – бледность кожных покровов, головокружение, слабость, тошнота и так далее.
- Боль в нижней части живота — появляется только тогда, когда полип значительно увеличился в размере и начал сдавливать окружающие его ткани.
Что касается первых признаков, которые могут сигнализировать о наличии полипа в полости матки, это увеличение объема менструальной крови, сбои в регулярности месячных, а также усиление их болезненности.
Если полип имеет очень большой размер и у него длинная ножка, она может перекручиваться, вызывая при этом сильные боли, повышение температуры, а также сильное кровотечение, в случае отрыва образования от стенки.
Иногда поводом для обращения к врачу, и одним из симптомов полипозных образований является невозможность зачать ребенка, а также частые прерывания беременности на ранних сроках.
Врачи неоднократно напоминают женщинам о важности регулярных профилактических осмотров, вне зависимости имеются ли какие-нибудь настораживающие симптомы или нет. Многие серьезные и достаточно опасные недуги половых органов протекают в скрытой форме, и признаками не сопровождаются. Одним из таких заболеваний является полипоз. Коварство данного недуга в том, что симптоматика его проявляется только уже в запущенных случаях, и женщина может много лет ходить с полипом, даже не подозревая о нем. Между тем промедление в лечении может быть чревато различными осложнениями, которые собственно и создают клиническую картину полипоза, при отсутствии осложнений клиника может оставаться не выраженной.
Причины возникновения
Почему в матке появляются полипы, врачи досконально не изучили, и четкого ответа на этот вопрос пока нет.
Версии врачей основываются только на провоцирующих факторах, которые могут дать толчок для развития этой патологии:
- сбой в гормональном балансе;
- аномальное увеличение маточных сосудов;
- воспалительные и инфекционные процессы в половых органах, особенно те, которые протекают в хроническом варианте;
- эндокринные патологии;
- частые аборты, в ходе которых были нарушены правила безопасности и стерильности;
- гипертония и сахарный диабет;
- лишний вес;
- малоподвижный образ жизни;
- длительные и частые стрессы;
- снижение иммунных сил организма;
- наследственный фактор;
- лечение Тамоксифеном.
https://youtube.com/watch?v=GfF2YkMp0h8
Виды и их локализация
Классификация полипозных образований основывается на клеточном составе нароста и на месте его локализации.
Выделяют следующие виды:
- Железистый. Этот полип состоит из стромальных структур и содержит большое количество железистых клеток.
- Железисто-фиброзный. Чаще всего диагностируется у женщин детородного возраста, на гистологическом анализе можно наблюдать деформированные железы внутренней секреции с просветами в виде кист. Ножка и поверхность образования состоит из фиброзной ткани, которая обеспечивает плотность полипа и сохранение его формы. В этом случае сосуды нароста расположены в хаотичном порядке по всему новообразованию.
- Фиброзный. В этом случае в составе образования имеются соединительнотканные клеточные структуры. При этом сосуды склерозированные, с плотной стенкой и, как правило, единичные.
- Аденоматозный. В состав этого образования входят различные клетки, включая атипичные. При наличии аденоматозного полипа риск перерождения в злокачественное образование высок.
- Плацентарный. Такое новообразование является следствием неполного удаления плаценты во время родов или абортов.
Железисто-фиброзные образования в матке могут представлять большую угрозу для здоровья женщины, поскольку, они часто воспаляются и склонны к кровотечениям.
Что касается локализации полипов, она следующая (указана на фото):
- в шейке матки – цервикальный полип;
- в полости матки – полип эндометрия, в этом случае образование может располагаться на стенках детородного органа или на дне.
Как быстро растет?
Скорость роста полипозного образования – это очень индивидуальный вопрос.
Она зависит от общего состояния здоровья женщины, и от ее иммунитета. Некоторые полипы могут довольно длительное время не доставлять женщине хлопот, но при провоцирующих факторах их рост может становиться более активным.
ВАЖНО!
Важно понимать, что опасность полипа не в скорости его роста, а в возможном риске трансформации его клеток в злокачественные.
Чем опасен недуг?
Самой большой опасностью полипозных образований является риск возможной малигнизации.
Кроме того, полипы могут вызывать сбои в менструальном цикле, приводить к бесплодию, провоцировать сильные кровотечения и, как результат, анемию.
Любой полип – это реальная угроза для женского здоровья, поэтому относиться к этому недугу надо серьезно.
Чем опасны полипы шейки матки, читайте здесь.
Возможно ли лечение без операции?
Единственным эффективным способом избавления от полипоза является хирургическое вмешательство.
Но если пациентка наотрез отказывается от операции, или же ситуация некритичная, врач может порекомендовать медикаментозное лечение или лечение народными способами.
Однако, народные способы позволяют только лишь устранить клиническую картину недуга, а медикаментозное лечение способно приостановить рост патологии. Но полностью избавиться от недуга можно только хирургическим путем.
Народные средства
Лечение полипов народными средствами – это не совсем лечение, это скорее профилактика осложнений (воспалений и инфицирования), а также устранение негативной симптоматики.
Методы, которые применяются:
- спринцевание отварами лекарственных трав;
- тампонация;
- прием отваров вовнутрь.
Как правило, используются:
- ромашка;
- шалфей;
- зверобой;
- алоэ;
- облепиховое масло;
- календула;
- чистотел;
- тысячелистник;
- боровая матка;
- продукты пчеловодства и многое другое.
Перед применением любого нетрадиционного метода лечения необходима консультация врача, поскольку не во всех случаях использование народных способов целесообразно и безопасно.
Медикаментозная терапия
Медикаментозное лечение включает в себя прием гормональных препаратов:
- До 35 лет женщинам назначаются комбинированные оральные контрацептивы – Ярина, Регулом, Жанин.
- После 35 лет назначаются гестагены – Утрожестан, Норкалут, Дюфастон.
- Рилизинг- гормоны – Золадекс, Лейпрорелин, Диферелин. Чаще всего назначаются после 40 лет и в период климакса.
- Антибактериальная терапия показана всем пациенткам, если причиной возникновения полипов стало воспаление. Назначаются Гентамицин, Зитролид, Мономицин и так далее.
Хирургическое вмешательство
Удаление полипа проводится несколькими методами, и выбор его зависит от возраста женщины, ее планов на будущую беременность, места локализации образования и многих других факторов.
Применяется:
- криодеструкция;
- полипэктомия;
- лазерное удаление;
- радиоволновое удаление;
- иссечение полипа скальпелем;
- гистероскопия;
- электрокоагуляция;
- прижигание химическими препаратами – Солквагином;
- выкручивание и выскабливание.
Возможные последствия
Последствием полипоза может стать стойкий сбой в менструальном цикле, который будет сохраняться до тех пор, пока образование не будет удалено.
Кроме того, возможны ациклические кровотечения, которые приводят к анемии и другим серьезным нарушениям в организме женщины.
ОСТОРОЖНО!
Одним из возможных осложнений явление бесплодие, поскольку новообразование может препятствовать проникновению семенной жидкости или прикреплению плодного яйца к стенкам матки.
Также при гормональном дисбалансе возможен риск прерывания беременности на ранних сроках.
Риск озлокачсетвления полипа составляет небольшой процент, чаще всего трансформация происходит в случае наличия аденоматозного образования.
Полип и беременность
В некоторых случаях полип провоцирует бесплодие – нарушение гормонального баланса, перекрытие полипом цервикального канала, проблемы с прикреплением плодного яйца к маточным стенкам – все это создает значительные проблемы для зачатия и беременности.
Однако, беременность при наличии полипа все же возможна.
В случае благополучного зачатия, женщина обязательно должна всю беременность находиться под тщательным врачебным контролем, поскольку воспаление образования может негативно повлиять на плод, кроме того, врач должен отслеживать рост образования, поскольку крупные полипы цервикального канала будут препятствовать естественным родам, и потребуется кесарево сечение.
В целом выносить и родить здорового ребенка при наличии полипа возможно, однако сразу после родов и окончания лактационного периода образование желательно удалить.
Заключение и выводы
Многие серьезные заболевания яркой симптоматикой не сопровождаются. Полипоз – это один из таких недугов.
Поэтому женщина должна проходить гинекологические осмотры не только тогда, когда у нее что-то болит, а регулярно в качестве профилактики.
Полезное видео
Из видео вы узнаете о симптомах у женщин при полипах в матке:
https://youtube.com/watch?v=11YXIrOzgsA
Вопрос-ответ
Как понять, что у меня полипы в матке?
Полипы в матке могут проявляться различными симптомами, такими как нерегулярные менструации, обильные кровотечения, боли внизу живота или выделения между менструациями. Однако у многих женщин полипы могут не вызывать никаких симптомов. Для точной диагностики рекомендуется обратиться к врачу, который может назначить ультразвуковое исследование или гистероскопию.
Как болит при полипах эндометрия?
Некоторые женщины, имеющие полип эндометрия, жалуются на схваткообразные боли внизу живота, которые могут усиливаться во время полового акта.
Где болит при полипе в матке?
Симптомы полипов в матке: спастические боли в нижней части живота; тянущие, неприятные ощущения в области паха, усиливающиеся после физической нагрузки, полового акта, эмоционального напряжения; мажущие кровянистые выделения перед началом менструаций или после ее окончания.
Как беспокоят полипы в матке?
Симптомы полипов в матке: вагинальное кровотечение у женщин в менопаузе (метроррагия), обильные слизистые выделения вне менструаций, схваткообразные боли внизу живота и в пояснице, боль во время секса (диспареуния).
Советы
СОВЕТ №1
Регулярно проходите гинекологические осмотры. Это поможет выявить полипы на ранних стадиях, когда лечение может быть менее инвазивным и более эффективным.
СОВЕТ №2
Обратите внимание на изменения в менструальном цикле. Если вы заметили нерегулярные кровотечения, боли внизу живота или другие необычные симптомы, не откладывайте визит к врачу.
СОВЕТ №3
Изучите отзывы других женщин, столкнувшихся с этой проблемой. Это может помочь вам лучше понять, чего ожидать от лечения и какие методы могут быть наиболее эффективными.
СОВЕТ №4
Не стесняйтесь задавать вопросы своему врачу. Чем больше информации вы получите о своем состоянии и возможных вариантах лечения, тем более уверенно вы сможете принимать решения о своем здоровье.





