
Болезнь является не только медицинской, но и социальной проблемой.
Данная патология часто при приводит к бесплодию, становится причиной невынашивания беременности, неудачных попыток ЭКО.
Ранняя диагностика и лечение играют важную роль для предотвращения распространения патологического процесса.
Сущность патологии
Стенка матки состоит из 3 слоёв (наружный – периметрий, средний – миометрий, внутренний – эндометрий).
При эндометрите поражается внутренний слизистый слой матки, зачастую процесс распространяется вглубь и поражает мышечный слой (эндомиометрит).
В течение менструального цикла, на его последней фазе, эндометрий созревает и подготавливается для имплантации оплодотворённой яйцеклетки, если этого не происходит, функциональная часть эндометрия отторгается и удаляется во время менструации.
Внутренний слой матки является первым слоем на пути у инфекции и обладает защитными свойствами. При его повреждении появляется возможность для проникновения инфекции и в дальнейшим развитием воспалительного процесса.
здесь.
https://youtube.com/watch?v=l96eTaTYglQ
Причины возникновения
Передача инфекции возможна тремя путями:
- Восходящая инфекция (из наружных половых органов, через канал шейки матки);
- Гематогенно (с притоком крови);
- Лимфогенно (по системе лимфатических сосудов).
Наиболее часто эндометрит развивается при восходящей инфекции, которая возможна при следующих условиях:
- Вагинальное исследование;
- Лечебные и диагностические манипуляции с вмешательством в полость матки;
- Половой акт (коитус) во время менструации;
- Родовые травмы;
- Аборт;
- Кесарево сечение;
- Внутриматочные спирали;
- Использование тампонов;
- Несоблюдение личной гигиены;
- Инфекционные заболевания наружных половых органов.
Симптомы заболевания
Симптомы заболевания зависят от многих факторов:
- От вида возбудителя и его вирулентности;
- От реактивности человеческого организма;
- От локализации и обширности патологического процесса.
ВАЖНО!
Воспалительный процесс у каждой женщины развивается по-разному, поэтому и клиническая картина будет варьироваться.
У одних женщин заболевание протекает скрыто и малосимптомно, у других развивается яркая клиническая картина с выраженным интоксикационным синдромом.
Среди многообразия симптомов можно выделить следующие:
- Выделения из матки различного характера (гнойные, слизистые, слизисто-гнойные);
- Иногда появляется гнилостный запах выделений (чаще возникает, когда возбудитель является кишечная палочка);
- Боли в области малого таза, иногда иррадиирующие в поясничную область, в область прямой кишки, лобковую область;
- Болезненные ощущения при пальпации (степень выраженности зависит от вовлечения мышечного слоя в воспалительный процесс).
- Интоксикационный синдром (Субфебрильная или фебрильная температура, общая слабость, недомогание, головные боли, тахикардия, иногда тошнота). Проявление интоксикационного синдрома зависит от выраженности воспалительного процесса;
- Часто нарушается менструальный цикл (задержка).
При возникновении данных симптомов незамедлительно обратитесь к врачу для оказания квалифицированной помощи.
https://youtube.com/watch?v=y0CRiG8lEWs
Методы диагностики
Для диагностики эндометрита матки необходимо обратиться к врачу-специалисту, который проведёт следующие исследования:
- Гинекологический осмотр. Данный метод поможет оценить величину и болезненность матки при пальпации, интенсивность болей, подвижность шейки матки. При осмотре врач оценит влагалищные выделения (их количество, характер), осмотрит наружные половые органы, состояние шеечного канала на наличие гиперемии, эрозий. Во время осмотра берутся мазки для дальнейшей микробиологической диагностики, установления вида возбудителя и чувствительности к антибиотикам. Для быстрой диагностики применяют ПЦР (полимеразно-цепная реакция);
- Ультразвуковое исследование малого таза даст возможность определить величину матки, толщину стенок (при эндометрите они увеличиваются), также даст возможность установить другие сопутствующие патологии;
- Гистероскопия;
- Общий и биохимический анализы крови. В общем анализе крови при эндометрите врач будет наблюдать лейкоцитоз и повышение СОЭ, иногда может наблюдаться лёгкая степень анемии. В биохимическом анализе будет повышаться C-реактивный белок как маркер воспаления;
- Когда внешние проявления имеют сходные черты с другими заболеваниями, используется такой метод как биопсия. С его помощью можно провести дифференциальную диагностику с другими заболеваниями (дисплазия, предраковые состояния, опухолевые поражения).
Одним из самых эффективных методов диагностики эндометрита является УЗИ-диагностика. Она не только позволяет выявить заболевание и провезти дифференциальную диагностику, но и является безболезненной для пациента. Ультразвуковое исследование обладает высокой точностью и применяется как скрининговое обследование женского населения. Его преимуществами являются точность, неинвазивность, дешевизна, безопасность для пациента.
Виды эндометрита
Выделяют такие виды заболевания — острый и хронический эндометрит:
Острый эндометрит
Острый эндометрит характеризуется быстром развитием, обычно через 3-4 дня после инфицирования, быстрое развитие симптомов (повышения температуры тела, боли, локализованные внизу живота, наблюдаются выделения из влагалища, иногда выделения имеют неприятный запах, очень часто сопровождается болезненным мочеиспусканием, ознобом, общей слабостью, тахикардией.
Часто возникает после родов, абортов, кесарево сечении, хирургическом вмешательстве на органах малого таза, постановки маточной спирали.
При стандартном обследовании врача-специалиста наблюдается увеличенная и болезненная матка при пальпации, гиперемия половых органов, выделения различного характера.
Острый эндометрит длится около одной двух недель и проходит после хорошо назначенного лечения, при несоблюдении лечения переходит в подострый, а потом в хронический эндометрит.
Хронический эндометрит
Хронический эндометрит характеризуется медленным и постепенным развитием, скудностью клинических проявлений.
Часто женщины обращаются за помощью из-за нарушения менструального цикла (скудные или обильные месячные).
Иногда наблюдаются маточные кровотечения, болезненные ощущения в области малого таза, болезненные ощущения при половом акте.
При гинекологической осмотре клинические проявления более скудны, если сравнивать с острой фазы (также наблюдается утолщение стенок матки, но в меньшей степени, более скудные выделения из влагалища).
Хронический эндометрит приводит к структурным изменениям матки (образование полипов, кистозных образований, вовлечение в патологический процесс мышечной стенки).
Он приводит к бесплодию в десяти процентов случаев и является причиной невынашивания беременности в шестидесяти процентов случаев.
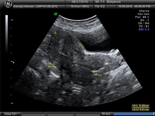
Эхопризнаки недуга
Диагностировать эндометрит при помощи УЗИ можно только на второй стадии развития заболевания.
Исследование нужно проводить за несколько ней до начала менструации, это связано с тем, что патологические процессы в этот период времени наиболее выражены, и обнаружить патологию становится значительно легче.
При помощи УЗИ можно выявить следующие эхографические признаки эндометрита:
- Утолщение слизистого слоя матки в результате гиперплазии эндометрия;
- Утолщение миометрия при вовлечении мышечного слоя матки в патологический процесс.
- Изменение формы матки и анатомического положения, благодаря образованию спаек в полости матки;
- Изменение размеров матки, из-за скопления в ней экссудата;
- При длительно течении заболевания, можно обнаружить спаечный процесс, он выявляется как множественные очаги с повышенной эхоплотностью.
ОБРАТИТЕ ВНИМАНИЕ!
УЗИ метод является ориентировочной диагностикой эндометрита, позволяет его дифференцировать от другого рода патологий.
Для более точно установления диагноза применяется микробиологический метод, который проводится после взятия мазков.
Как различаются острый и хронический вид и как выглядит на УЗИ?
Заподозрить острый эндометрит при ультразвуковом исследовании достаточно сложно, так как при УЗИ выявляется не столько признаки эндометрита, сколько признаки спаечного процесса и структурных изменений строения матки.
Поэтому при помощи эхо-диагностики обычно диагностируется хронический эндометрит.
Признаками хронического эндометрита являются:
- Уменьшение толщины эндометрия (видно на фото);
- Изменение строения слизистой оболочки матки;
- Расширение полости матки, благодаря скоплению экссудата;
- Наличие кист и газовых пузырьков;
- Распространенные диффузные патологические изменения в миометрии, слоя, находящегося вблизи эндометрия.
Признаками острого эндометрита являются:
- Утолщение внутреннего слоя матки (воспаление);
- Изменение в строении слизистого слоя матки;
- Увеличение матки.
Методы лечения
Лечение эндометрита делится на консервативное и хирургическое:
- Консервативное лечение. Включает в себя комплекс препаратов, направленных на уничтожение микроорганизмов (вначале лечения применяют антибиотики широкого спектра действия, в дальнейшем после получения результатов микробиологического исследования, переходят на антибиотики чувствительные к конкретному возбудителю). С целью купирования интоксикационного синдрома производят внутривенное вливание коллоидных и кристаллоидных растворов до двух литров в сутки. Логично использовать препараты поливитаминов, антигистаминные препараты, средства, регулирующие иммунитет. Для уменьшения болевого синдрома используются НПВС.
- Хирургическое лечение. Оно применяется при неэффективности консервативного лечения, при развитии гнойного эндометрита. Происходит закупорка шеечного канала матки и гнойное содержимое не способно выходить из полости матки, усугубляя течение заболевания.
Для открытия цервикального канала используют:
- Гистероскопический метод;
- Зондовые методы;
- Хирургическое расширение шеечного канала.
При очень тяжёлом течении эндометрита, когда существует вероятность смерти пациента производят гистероэктомию (удаление матки).
ОСТОРОЖНО!
Не принимайте антибиотики самостоятельно без назначения их врачом, вы только разовьёте лекарственную устойчивость бактерий и способствуете переходу заболевания в хроническую форму.
физиотерапию при эндометрите.
Заключение
Эндометрит – это тяжёлое заболевание, способствующее развитию многих осложнений (бесплодию, прерыванию беременности). Оно уменьшает качество жизни человека.
При возникновении симптомов необходимо в скором времени обратиться к врачу для диагностики и лечения.
Своевременно правильно поставленный диагноз является залом успеха для лечения заболевания.
Полезное видео
Из видео вы узнаете о диагностике эндометрита матки:
https://youtube.com/watch?v=ht1Mavlmosg
Вопрос-ответ
Как диагностируют эндометрит?
Ультразвуковое исследование малого таза. Исследование крови и мазков на флору.
Основным методом диагностики хронического эндометрита является?
Золотым стандартом диагностики хронического эндометрита является гистологическое исследование биоптата эндометрия.
Как диагностируют эндометриоз?
Диагностика эндометриоза обычно начинается с медицинского анамнеза и физикального осмотра, включая гинекологический осмотр. Для подтверждения диагноза могут использоваться ультразвуковое исследование, магнитно-резонансная томография (МРТ) и лапароскопия, которая позволяет визуально оценить состояние органов и, при необходимости, взять биопсию.
Что делают при патологии эндометрия?
Лечение патологий эндометрия может использоваться консервативные и хирургические методы. Для коррекции различных нарушений эндометрия могут использоваться гормональные препараты, такие как эстрогены и гестагены. Они помогают стабилизировать уровни гормонов и восстановить нормальную структуру эндометрия.
Советы
СОВЕТ №1
Перед посещением врача подготовьте список симптомов и вопросов, которые вас беспокоят. Это поможет врачу быстрее понять вашу ситуацию и назначить необходимые исследования.
СОВЕТ №2
Не игнорируйте регулярные гинекологические осмотры. Ранняя диагностика эндометрита может предотвратить развитие более серьезных осложнений и улучшить шансы на успешное лечение.
СОВЕТ №3
Обсудите с врачом все доступные методы диагностики, включая УЗИ, гистероскопию и анализы. Понимание каждого метода поможет вам сделать осознанный выбор и снизить уровень тревожности.
СОВЕТ №4
Следуйте рекомендациям врача по лечению и не прерывайте курс терапии без консультации. Это важно для полного выздоровления и предотвращения рецидивов заболевания.




