Здоровое состояние опорно-двигательного столба важно для полноценной жизнедеятельности человека. Но бывает, что патология поражает ноги. Воспаление суставов на ногах является распространенным заболеванием, лечение которого осуществляется разными способами. Особенно страдают люди в преклонном возрасте. К данной болезни относится артрит стопы.
Особенности болезни
На наши стопы возлагается нагрузка, ведь они выдерживают на себе вес. За счет их осуществляется передвижение, поэтому очень часто ноги подвергаются разным недугам (в том числе и артриту). Воспалительный процесс в соединении, сопровождающийся модификацией строения, называется артритом стоп.
Наблюдается воспаление в костном сочленении больших пальцев, плюсны. Может диагностироваться одновременно с артритом голеностопа. Мало кто из нас обращает внимание на небольшой болевой синдром, неприятное ощущение при ходьбе. Оно постепенно усиливается, доставляя некоторое страдание личности.
У пациента изменяется походка, особа может начать хромать, испытывает сильную боль, происходит нарушение суставной структуры. В таком случае желательно придерживаться предписаний доктора, применять комплексное лечение.
Классифицируется патология на следующие виды:
- посттравматическую;
- ревматоидную;
- подагрическую;
- инфекционную.
Имеет артрит ног хроническую и острую фазу протекания заболевания. Последняя форма характеризуется выраженной симптоматикой. Хроническая обладает вялым протеканием и слабовыраженными симптомами. Следует отметить существование облитерирующего артрита ног, так как он может привести к ампутации правой (левой) конечности, в конечном итоге — к инвалидности.
Врачи подчеркивают, что лечение воспалений суставов на ногах требует комплексного подхода. Прежде всего, важно установить точную причину воспаления, так как это может быть связано с артритом, подагрой или травмами. В начальной стадии рекомендуются противовоспалительные препараты, которые помогут снизить болевой синдром и отечность. Физиотерапия также играет ключевую роль: специальные упражнения и процедуры улучшают кровообращение и способствуют восстановлению подвижности суставов.
Кроме того, врачи советуют обратить внимание на диету, включив в рацион продукты, богатые омега-3 жирными кислотами, антиоксидантами и витаминами. Избегание избыточной нагрузки на суставы и регулярные занятия физической активностью помогут предотвратить рецидивы. В некоторых случаях может потребоваться хирургическое вмешательство, если консервативные методы не приносят облегчения. Важно помнить, что индивидуальный подход к каждому пациенту является залогом успешного лечения.

Причины возникновения
Почему воспаляются суставы и что делать в такой ситуации? Источники возникновения болезни разные, ведь каждый отрицательный процесс в биосистеме является основой для развития артрита ног. Факторы, которые вызывают патологию, делятся на вторичные и первичные. Повреждением самого сустава характеризуются первичные факторы, а вторичные проявляются в соответствии наличия другого заболевания.
Основные причины:
- травмирование;
- инфекция;
- нарушение метаболизма;
- врожденная патология;
- сбой в работе эндокринной системы;
- аутоиммунный процесс;
- нарушение костной материи.
Кроме вышеперечисленных причин на возникновение недуга могут влиять такие факторы:
- переохлаждение;
- слабая иммунная система;
- чрезмерная физическая нагрузка;
- беременность.
Подвергаются риску:
- Спортсмены – они постоянно испытывают нагрузку на стопы ног.
- Пациенты – переболевшие инфекцией, вирусом.
- Особи, которым больше 55 лет.
- Люди со слабым иммунитетом.

Симптомы недуга
Существуют клинические признаки, которые выражены в разной степени. Чем бы ни был спровоцирован артрит нижних конечностей, именно его симптомы принуждают человека обращаться за медицинской помощью.
К ним относят:
- отек;
- повышенная температура тела;
- боль;
- покраснение локализованного места;
- ограничение подвижности;
- нарушение функционирования.
Абсолютно каждый воспалительный процесс сопровождается болевыми ощущениями. Они бывают едва заметными или же невыносимыми при ходьбе, малейшем передвижении, или даже в состоянии покоя. Болевой синдром предоставляет дискомфорт при шевелении пальцев правой или левой ноги, а в некоторой ситуации утруждает стояние на них. Боль становится сильной, постоянной с прогрессом болезни.
Если воспалился сустав на ноге, то заметить это возможно по внешнему показателю. Значительно меняется внешний вид сустава нижней конечности. Пораженное соединение отечное, горячее на ощупь, кожный покров имеет блеск, покрасневшее.
Для артрита характерно сбой работоспособности поврежденного сустава. Болевой синдром может развиваться на фоне необратимых модифицированных изменениях, обладает временным характером. При этом ограничена подвижность, невозможно сгибание ноги.
Многие люди, страдающие от воспалений суставов на ногах, делятся своим опытом и советами. Одним из популярных методов является применение холодных компрессов, которые помогают снизить отек и облегчить боль. Некоторые рекомендуют использовать противовоспалительные мази и гели, содержащие натуральные компоненты, такие как арника или ментол.
Другие обращают внимание на важность физической активности, подчеркивая, что легкие упражнения и растяжка способствуют улучшению подвижности суставов. В то же время, многие советуют избегать чрезмерных нагрузок, чтобы не усугубить состояние.
Питание также играет ключевую роль: люди отмечают, что включение в рацион продуктов, богатых омега-3 жирными кислотами, таких как рыба и орехи, может помочь в борьбе с воспалением. В дополнение к этому, некоторые рекомендуют добавлять в меню куркуму и имбирь, известные своими противовоспалительными свойствами.
Однако, несмотря на множество советов, важно помнить, что перед началом лечения стоит проконсультироваться с врачом, чтобы выбрать наиболее подходящий метод для каждого конкретного случая.
Диагностика
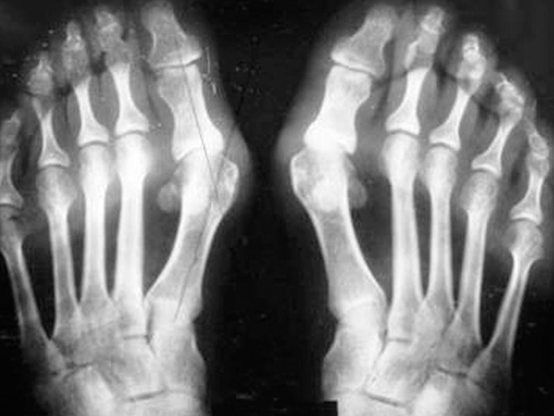
При возникшей боли стоит обратиться в поликлинику за медицинской помощью к ортопеду, ревматологу. Доктор осматривает пациента, проводит опрос, выслушивает жалобы. Осмотр стопы заключается в оценке и анализировании деформации сочленения, подвижности и степени боли. Диагностировать артрит стопы не затруднительно.
Основными способами диагностики суставов являются УЗИ, МРТ, КТ. Чтобы выяснить настоящую и точную причину артрита проводят общий анализ крови. Для определения состояния синовиальной жидкости совершают пункцию сочленений.
Методы лечения
Как лечить артрит нижних конечностей? Оптимальный и верный метод лечения сможет подобрать и назначить только специалист. Исходя из проведенных анализов, присутствующих симптомов врач назначает лечебную терапию.
Основные цели терапии:
- замедление развивающего процесса;
- ликвидация болевого признака;
- улучшение самочувствия;
- восстановление суставной функции;
- устранение осложнения.
Медикаменты
Грамотное лечение назначает доктор, в зависимости от причин и симптомов применяются лекарственные препараты. Зачастую используются противовоспалительные, обезболивающие средства.
- Нестероидные противовоспалительные медикаменты помогают устранить воспаление косной поверхности с отеком, понизить болевой синдром, способствуют возобновлению строения. К ним относят: Напроксен, Ибупрофен, Диклофенак.
- Обезболивающие препараты рекомендуются для избавления сильной боли. Их выписывает лечащий врач, здесь также актуально согревающие мази, гели. Применяется часто Нурофен, Кеторолак, Доларен.
- Хондропротекторы улучшают хрящевую материю, приостанавливают развитие болезни, наполняют костные ткани строительным веществом. В эту группу входят: Дона, Структум, Хондроитин, Артрон, Алфлутоп.
Учтите, что все эти препараты действенные только на ранней фазе патологии.
Народная терапия
Рекомендуют после посещения доктора приступать к лечению. Лечить артрит стоп в домашних условиях может быть опасно. Прежде всего стоит посоветоваться с медработником, чтобы дополнить консервативное лечение народными средствами, и не навредить себе. Основной задачей нетрадиционной медицины является снятие отека, острой боли.
Рассмотрим некоторые рецепты народных средств:
- Мазь. Возьмите чайную ложечку скипидара, один свежий желток – все взбить. Добавить в смесь чайную ложку яблочного уксуса. Полученная мазь хорошо снимает боль, отечность. Мазать пораженный сустав дважды в день.
- Магниевая соль – прикладывается на больное место на 15- 20 минут, отлично справляется с болевым синдромом.
- Отвар из смородины. Ягоды черной смородины проварить около 20 минут, затем остудить, процедить отвар и пить по 3 столовых ложки в сутки. Снимает приступы.
- Лимонный компресс – подогреть воду в сосуде, добавить в нее сок из половины фрукта. Затем опустить в раствор марлю и наложить ее на больной сустав. Помогает снять болевые ощущение.
- Крапивная повязка. На ночь прикладывают свежее растение на сочленение, сверху обматывают теплой тканью, чтобы повязка держалась. Длительность сеанса – от 3 до 4 процедур.
ЛФК
К основному лечению хорошо бы выполнять упражнения. Ознакомимся с самым простым комплексом занятий:
- Лечь на спину, при этом колена согнуты, далее выпрямите ноги и разведите их в стороны. После снова вернитесь в начальное положение.
- Лежа на спине, следует потянуть стопу на себя, и отвести ее обратно. Руки по швам, дыхание равномерное.
- Лягте на спину, согните ноги в коленном суставе, подтяните пятки к себе, не отрывая их от поверхности пола.
- Лечь набок, отводите правую ногу в сторону, затем возвращайтесь в прежнюю позу. Это же упражнение выполните с левой ногой.
Видео «Лечебный комплекс при артрите»
В данном видео приведены простые примеры занятий, которые вы можете посмотреть и совершать дома.

Вопрос-ответ
Какие симптомы указывают на воспаление суставов на ногах?
Симптомы воспаления суставов могут включать боль в суставах, отечность, покраснение кожи вокруг сустава, ограничение подвижности и повышение температуры в области воспаления. В некоторых случаях может наблюдаться хруст при движении.
Каковы основные методы лечения воспалений суставов на ногах?
Основные методы лечения включают применение нестероидных противовоспалительных препаратов (НПВП), физиотерапию, холодные компрессы для уменьшения отека, а также изменение образа жизни, включая диету и физическую активность. В некоторых случаях может потребоваться инъекция кортикостероидов или хирургическое вмешательство.
Какую роль играет диета в лечении воспалений суставов?
Диета может значительно повлиять на воспалительные процессы в организме. Употребление продуктов, богатых омега-3 жирными кислотами (например, рыба, орехи), антиоксидантами (фрукты и овощи) и избегание переработанных продуктов и сахара может помочь снизить воспаление и улучшить общее состояние суставов.
Советы
СОВЕТ №1
Обратитесь к врачу для точной диагностики. Прежде чем начинать любое лечение, важно выяснить причину воспаления суставов. Консультация с врачом поможет определить, требуется ли вам медикаментозное лечение, физиотерапия или другие методы.
СОВЕТ №2
Следите за своим питанием. Включите в рацион продукты, богатые омега-3 жирными кислотами (рыба, орехи, семена), а также антиоксиданты (фрукты и овощи). Эти компоненты могут помочь уменьшить воспаление и улучшить общее состояние суставов.
СОВЕТ №3
Регулярно занимайтесь физической активностью. Упражнения, такие как плавание, йога или легкая гимнастика, могут помочь укрепить мышцы вокруг суставов и улучшить их подвижность. Однако избегайте чрезмерных нагрузок и выбирайте щадящие виды активности.
СОВЕТ №4
Используйте местные противовоспалительные средства. Гели и мази с противовоспалительными компонентами могут помочь облегчить боль и уменьшить отечность в области воспаленных суставов. Однако перед использованием таких средств проконсультируйтесь с врачом.







